Marketing Communications Marketing Communications

Learning How to Take Great Photos of Your Cosmetic Dental Work Will Transform Your Practice

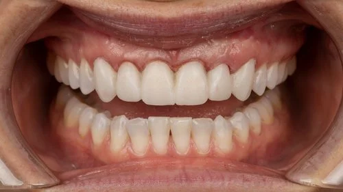
by Dr. Adamo Notarantonio

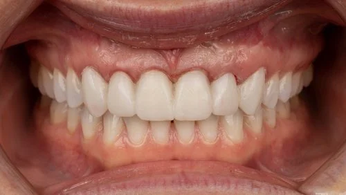
Many dentists are not aware of just how important visual social media can be to brand yourself as a top specialist. Becoming an expert in dental photography will also help you convince patients that they should work with you to transform their smiles. How to become a dental photography expert?

I am not sure where it came from, but I've always loved the art of cosmetic dentistry. I have learned that one of the fundamental keys to success in this field is to master dental photography.

 

I had no plans to become a dentist when I grew up in Smithtown, Long Island, and tried playing pro soccer after earning my B.S. at Cornell, but I gave up. My dad wanted to encourage me to go back to school, so he insisted I take a job as a garbage collector for a year, which was a motivator. 

 

A friend was studying at the NYU College of Dentistry, and he convinced me to apply. I immediately discovered that I loved the cosmetic aspect of dentistry, helping classmates glaze their crowns because I had a good eye for color. I graduated from SUNY at Stony Brook in 2002, did my residency there (including being chief resident for an additional year), then began working in a fee-for-service practice, Huntington Bay Dental, in Huntington, NY 2004.

 

In 2007, I went to my first meeting of the American Academy of Cosmetic Dentistry, and I thought, "Wow, I want to do dentistry like that because my patients deserve it." I became accredited in 2011, have overseen the AACD's accreditation process for the past five years, and am one of just 90 dentists worldwide to achieve the Accredited Fellow status. I am now president-elect and a certified missionary about the value for patients and practices of mastering cosmetic dentistry.

 

Unfortunately, only about five percent of dentists are really devoted to developing the skills to be able to deliver that level of excellence. I started out working six days a week at my practice, and now I work 12 hours on Mondays and Tuesdays and nine on Wednesdays, mostly doing not just the most complex cosmetic cases but also full mouth reconstructions. I fly out to teach classes or attend conferences on Wednesday night or Thursday morning (I am booked into 2025. Email me if you want to know my schedule).

 


WHY YOU SHOULD WANT TO DEVELOP YOUR DENTAL PHOTO SKILLS

There are many reasons to become an excellent cosmetic dentist who is an expert in dental photography. Many dentists are not aware of just how important visual social media can be to brand yourself as a top specialist; it brings in patients from other parts of North America and even the rest of the world (about 15% of my patients now come from outside a 100-mile radius from the practice). Instagram and Facebook, especially, provide an opportunity to showcase your work and brand.

 

Second, great photography enables you to document your work to protect yourself from patients who blame you for what they think was a mistake you made. I recently had one man come in screaming that I had chipped one of his teeth. Another claimed he did not have gum recession before cleaning was done. I showed them the scans I had done before the work began. With photographic documentation, you never have to worry about inaccurate criticisms or potential lawsuits.

 

Third, you should put all your communications with specialists and dental labs involved in a case into an email with instructions and photos with lines and arrows, so there cannot be any dispute about what needs to be done; this prevents all of us from not only misunderstandings but enables us to see what the others may not. It also means that I don't need to coordinate a phone call with, say, a lab technician in Europe.

 

How to become a dental photography expert? I do not believe in simply accepting the settings that a camera company pre-sets to take intraoral or extraoral pictures. Each situation is different, the lighting needed is different, each patient is different, and you need to know how to adjust the settings to create exceptional photos. You should start with understanding the camera basics from the manual and then take a hands-on course to create great cosmetic art (we offer a six-course curriculum in Charleston, S.C., and many others are available). 

 

Working with the MicroDental network is a delight because of their expertise at every level. If you are trying to develop a relationship with a new laboratory, be sure to talk to the manager or the head ceramist to be sure their standards and skills are aligned with what you need and how they will communicate. I worked with a South Korean ceramist for 12 years who barely spoke English, and I do not understand Korean, but our values were so identical that we had a very successful relationship. 

 

Becoming an expert in dental photography will also help you convince patients that they should work with you to transform their smiles. However, I always encourage mine to get a second opinion. Most cosmetic dentists will give them just a one-page proposal, but mine are five pages with photos showing their current condition and how they will look when we finish. If you would like to know more about how to develop your practice photography skills, I would refer you to this article.


About the Author

Dr. Adamo Notarantonio is a State University of New York graduate of Stony Brook School of Dental Medicine. Dr. Adamo was accredited by the American Academy of Cosmetic Dentistry in 2012 and received his Fellowship in 2018. He is the only Accredited Fellow in New York State and the 80th person worldwide to achieve this honor. In 2016, Dr. Adamo was awarded the AACD's Rising Star Award and was recently appointed Accreditation Chairman of the American Academy of Cosmetic Dentistry.

Dr. Adamo is a graduate of the Kois Center, where he studied under Dr. John Kois and has also completed The Dawson Academy Core Curriculum. He has received his Fellowship in the International Congress of Oral Implantologist and has been published in multiple dental journals and lectures nationally and internationally on such topics as CAD/CAM dentistry, implant dentistry, cosmetic dentistry, and dental photography. Dr. Adamo also volunteers at the NYU College of Dentistry as a Clinical Instructor in the Honors Aesthetics Program.

Read More
Marketing Communications Marketing Communications

Digital Technology Is Giving Dentists, Patients, and Laboratories More Reasons to Smile!

by Digital Advantage Team, MicroDental Laboratories

Embracing digital technology benefits dentists and patients and provides dental laboratories with opportunities to integrate the digital process seamlessly, thereby adding immediate and long-term value to dental practices.

The dental industry has undergone a revolutionary transformation with the advent of digital technology, and dentists who still need to embrace this technological advancement should consider evaluating its positive impact. Some dentists may have reservations about changing their established practices late in their careers, believing that patients have been adequately served with the traditional approach. However, embracing digital technology benefits dentists and patients and provides dental laboratories with opportunities to integrate the digital process seamlessly, thereby adding immediate and long-term value to dental practices.


One of the areas where digitizing the relationship has had the most significant impact is communication and collaboration between practices and the labs. In this blog post, we'll discuss why dentists should use this technology to enhance this relationship and the advantages that come with it.


In the conventional approach, the process involves mailing or couriering RXs, physical models, and or impressions, which can sometimes be time-consuming, costly, and prone to errors and delays. However, digital technology has revolutionized this process, significantly streamlining it and enhancing accuracy and satisfaction, particularly for patients. This transformation is attributed to the capability of dentists to communicate with dental labs through digital channels, including software applications linked to their intraoral scanners, web portals, email, and even text messaging. Additionally, telephone calls or visits to the lab (or arranging for lab staff to visit the practice) can complement the utilization of digital technology.


Another significant advantage of digital collaboration is speed. 

The speed lets dentists send and receive information from dental labs almost instantly, reducing turnaround time and allowing for faster delivery of dental prosthetics to the office; this also means that patients can receive their prosthetics quicker in many cases while reducing their time wearing temporary prosthetics.


In addition, one of the essential advantages of using digital technology when working with dental labs is accuracy. It enables dentists to send very precise digital impressions, reducing the possibility of errors and misinterpretation. Digital impressions are also more consistent and reproducible, making it easier for dental labs to create prosthetics perfectly fitted to the patient's mouth.

Consider that a scan serves as an exact replica of the patient's mouth under treatment. In contrast, in most cases, physical impressions are analog replicas of the mouth that undergo subsequent stone replication and scanning. Impression materials and stone exhibit expansion and contraction, which still yields acceptable results, but consistency needs improvement compared to intraoral scans.


Digital communication also facilitates enhanced collaboration between dentists and dental labs.

Dentists can easily share digital images, X-rays, and patient records, enabling lab technicians to understand the patient's dental condition and treatment plan comprehensively; this ensures that dental labs can produce prosthetics tailored to the patient's specific needs and preferences.


Moreover, digital technology enables the complete customization of dental prosthetics.

Dentists can now visualize digital mockups of prosthetics created by lab technicians before production, allowing for a more precise alignment with the patient's specific requirements. Customized dental prosthetics ensure a perfect fit and optimal comfort, significantly improving the overall dental experience for patients. Additionally, digital communication streamlines the process of tracking prosthetic progress. Dentists can easily receive updates from labs, minimizing the necessity for frequent follow-up calls and visits; this guarantees that dentists possess accurate information regarding the advancement of prosthetics and can provide regular updates to patients.


Additionally, establishing digital workflows for prosthetics enables dentists to securely store patient records and digital impressions on protected servers, thereby minimizing the requirement for physical storage space within the office; this not only conserves space but also mitigates the risks associated with potential loss or damage to physical records and impressions. By eliminating the necessity for storing and shipping physical models and impressions, the expenses related to prosthetics for patients can be reduced, enhancing affordability and accessibility to dental care.


Dentists who fully embrace the digital revolution in their collaboration with laboratories will discover that creating prosthetics becomes significantly easier, leading to satisfied and devoted patients; this forms the cornerstone of long-term success in dental practice.


Featuring

At MicroDental Laboratories, our Digital Advantage Team (DAT) is available to painlessly help dentists transition to digital dentistry. From assisting with your digital scan needs and troubleshooting to supporting your digital dentistry knowledge advancement, we got your team covered. We love digital technology and want to make your journey fun, simple, and productive.

Read More
Marketing Communications Marketing Communications

Create Your Inner Dental Paradise by Continuous Learning

by Dr. Tiffani Dunn

The drill and fill routine of dentistry can be tedious and physically stressful, not to mention the inevitable headaches in managing a practice. Theres importance in aspiring to be recognized as one of the best specialty dentists by colleagues and patients.

I was traumatized when a dentist extracted my primary teeth without adequate anesthetic. My father was in the military, and we moved every one or two years. When he retired in Atlanta during my freshman year of high school, we had a wonderful dentist. But it never occurred to me to become one.

I planned to become a circus acrobat. My mother had been a trapeze artist with Ringling Bros. and Barnum & Bailey until a 40-foot fall, though she was not severely injured. I inherited her limberness, and when she saw I was too flexible to do gymnastics at 12, she had my father put her old trapeze in our tall garage, where I soon could follow in her footsteps and hang by my toes.


I majored in biology and minored in chemistry at Florida State University in Tallahassee, which had a co-ed athletic flying high circus program. Near graduation, I was interviewed by a professional circus and was shocked to be told that if I was lucky, I might still be able to perform till age 30, being that the circus life was very difficult on the body.

I realized I could draw on my science background, love of creativity, and desire to help others by becoming a general dentist, graduating from the Medical College of Georgia in 2009. My father had been stationed in Oahu while I was in elementary school, and I loved Hawaii, so I accepted a job with a company in Kona on the Big Island.

Learning the ins and outs of this company, I did it on my terms, reading the contracts carefully and insisting on changes, a valuable habit for my entire career. The administration/management saw potential in me, had me interview prospective new dentists, and eventually even opened a practice under a different name. I soon discovered their reason: they needed me to fix problem cases from their other dentists. After a decade, I felt burned out, so I took another job with a smaller company.

 

DEVELOP A VOLCANIC PASSION FOR EXCELLENCE 

The drill and fill routine of dentistry can be tedious and physically stressful, not to mention the inevitable headaches in managing a practice. Not to mention, theres importance in aspiring to be recognized as one of the best specialty dentists by colleagues and patients.

I had always been fascinated by the artistic and technical challenges of a cosmetic smile makeover. Therefore, I decided to begin my accreditation journey in 2019 to become an outstanding restorative dentist by taking the written exam for the American Academy of Cosmetic Dentistry. I have completed two of the five required cases and also published a single peg lateral in the Journal for Cosmetic Dentistry entitled Recreating Nature With Lithium Disilicate. A second is about to be published, and I have submitted my third case--though the last two are a challenge to find in a small town.

I also benefited tremendously in 2021-22 by attending the Kois Center courses. If I had my practice then, I would never have had the time to complete this in one year, so the smaller company was a blessing for allowing me to take the unpaid time off to further my education.

 

ILLUMINATING THE PATH TO BRILLIANT SMILES

MicroDental Laboratories has played a central role in my learning to master the details of cosmetic dentistry. Like most dentists, I send a digital scan to the lab to create a wax-up for the try-in template. I hope to go fully digital with software and a printer to help my patients immediately understand the final expectation of a smile makeover within a year.

When working with the lab technicians, I give them the cosmetic goals and rely on their expert judgment about the best materials, such as feldspathic vs. lithium disilicate vs. layered zirconia. Technicians at MicroDental are masters of e-max lithium disilicate, for example. New ceramics have come a long way from traditional cementing to bonding to enhance the tooths strength.

A turning point in becoming an accredited cosmetic dentist was when I signed up for a photography seminar at MicroDental in Livermore, California. I had already learned some of the basics of dental photography at another seminar in Beverly Hills, and when at the MicroDental course, one of the two models for the 30 attendees did not show up, I was asked to stand in for her. It was an insightful experience to be on the other side of the lens for the session.

Using a macro lens to analyze ones work was a humbling experience after using my cell phone to take photos previously and not seeing the details this kind of lens reveals. This pushed me to improve, and I now use a Nikon camera with a twin flash

Each case is unique, and every day I work to master cosmetic dentistry is an inspiring challenge.

In May 2022, I took over a practice in Kona and was as passionate about my future as when I first realized how magical it is when a patient flashes a confident new smile they, you, and your lab has created. I hope you will be inspired to have that experience every day. Its never too late to start.


About the Author

Dr. Tiffani Dunn graduated from the Medical College of Georgia in 2009 and has made Kona her home ever since.

Since her graduation, she has continued to pursue the top courses for continuing education. She is a Kois Graduate, the first and only female in the state of Hawaii, and is currently an accreditation candidate for the American Academy of Cosmetic Dentistry, where there are less than 250 accredited members in the world.

She is published in the Journal of Cosmetic Dentistry and regularly participates with the Seattle Study Club. She is a Key Opinion Leader with Ivoclar Vivadent, a dental product company, and is trained with the in-house milling machine for optimum treatment for her patients.

Dr. Dunn has been selected by her colleagues for Honolulus Best Dentist and Top Dentist consecutively since 2014 to the present. She also lectures to her colleagues throughout the state and mainland.

When Dr. Dunn is not in the office, she enjoys island life with her three dogs, a lovebird, and a tortoise.

Read More
Marketing Communications Marketing Communications

Burnout Is Common Among Dentists — This Is How to Avoid or Manage It

by Dr. Mitch Conditt

Dentistry can be a physically, mentally, and emotionally challenging profession. Adding to this are the challenges of running a business and staying up with the latest technologies, and continuing education. If you are feeling stressed with your practice for any reason, there are many ways to deal with this before burning out.

Dentistry can be a physically, mentally, and emotionally challenging profession. Years of treating patients can cause a number of physical ailments. Few patients really appreciate the skill and dedication required to work in a dark, wet environment with low visibility and backward through a mouth mirror. Rather than receiving a "thank you," we often hear, "I hope I never have to come to see you again." Adding to this are the challenges of running a business, staying up-to-date with the latest technologies, and continuing education. It's no surprise that many dentists feel burned out well before they plan to retire.

I know this because I started my career as a general dentist after graduating from Baylor College of Dentistry in 1985. I experienced this for five years until I discovered cosmetic dentistry, which became my love and passion for over 25 years. For the next two decades, I became as knowledgeable and proficient as I possibly could and fell back in love with dentistry.

While I loved cosmetic dentistry and having patients very appreciative of the skill required to create beautiful smiles, I began feeling stressed again, trying to manage the business aspect of my practice. When I started working with business consultants, they helped me delegate tasks to trained team members they could legally do. Work smarter, not harder.

Eventually, physical ailments from the long and tedious work of cosmetic dentistry took their toll on my body, and I became burned out again. So I sold my cosmetic practice and discovered a new type of dentistry I became passionate about – treating snoring and sleep apnea and again limiting my practice to only what I loved.

If you feel stressed with your practice for any reason, there are many ways to deal with this before burning out. These are some of the other ways you could protect your physical and mental health and career:

 

1) TAKE TIME OFF

It is easy to become a workaholic when constant crises occur with your patients or staff. No matter what, you have to develop the habit of not looking at your phone, texts, or email. You will think more clearly when you cannot manage the practice 24/7. Take a vacation at least once a year, have hobbies, pay attention to your family, and socialize with friends. Your practice will actually benefit when you are not micromanaging it.

2) IT'S AN OLD DENTAL CLICHÉ, BUT WORK SMARTER, NOT HARDER

Hire consultants, always be learning, and become an expert at what you love.

 

3) TAKE CARE OF YOURSELF

Pay attention to ergonomics. Too often, business owners believe they will exercise, improve their diet, stop smoking, meditate, become active in a spiritual program, and get a balanced life sometime in the future when the crises stop. That never happens. Set achievable goals, and you will feel physically and emotionally better.

4) PRACTICE THE TYPE OF DENTISTRY YOU WANT TO PRACTICE AND TREAT ONLY THE PATIENTS YOU WANT TO TREAT.

You cannot be everyone's dentist, and you don't want to be.

 

5) REENGAGE WITH YOUR PURPOSE AS A DENTIST

Pay more attention to the feedback patients give you about how dentistry has changed their lives for the better. Help those struggling to understand what to do to improve their oral health. Attend more continuing education classes and workshops that will add to your skills.

 

6) CONSIDER CHANGING CAREERS

A career change could be the decision to sell your practice and become a part-time specialist for other dentists in the area; that is where you excel. Or it might mean moving on to another profession.

 

*

The good news is that burnout is not inevitable as long as you pay attention to how you feel and do something about it.


 About the Author

Dr. Mitch Conditt began his career as a general and restorative dentist graduating from Baylor College of Dentistry in 1985. Dr. Conditt now heads the Fort Worth Snoring and Sleep Center and is a former cosmetic dentist who now treats patients suffering from sleep disorders and TMJ Disorder and consults for dentists who would like to specialize in these fields. Dr. Conditt has completed several residency programs in these fields and is board certified in dental sleep medicine. He is a diplomate of the American Board of Craniofacial Dental Sleep Medicine and a Fellow of the American Academy of Craniofacial Pain. He is also a member of the American Academy of Orofacial Pain, American Academy of Dental Sleep Medicine, Academy of Clinical Sleep Disorders Disciplines as well as the Texas Dental Association and the American Dental Association.

Read More
Marketing Communications Marketing Communications

Master of One or Superstar of All

by Dr. Jerry Hu, DDS

To be a specialist or not to be, that is the question. The world of martial arts can be used to draw parallels to dentistry. Does one aim to be a master black belt in Shito Ryu Karate or Jiu Jitsu, or does one become a champion UFC fighter in mixed martial arts? The same question applies to being an excellent, well-diversified general dentist or a specialist in dentistry.

To be a specialist or not to be, that is the question. The world of martial arts can be used to draw parallels to dentistry. Does one aim to be a master black belt in Shito Ryu Karate or Jiu Jitsu, or does one become a champion UFC fighter in mixed martial arts? The same question applies to being an excellent, well-diversified general dentist or a specialist in dentistry.


In Karate, students tie on colored belts themselves as they progress in level, except for when it comes to the black belt. The sensei always straps on the black belt once a student achieves that status. Just like obtaining board certification and recognition in orthodontics, endodontics, oral surgery, etc., all the hard work, exams, mastering katas, and ninja crunches, or defending a thesis like doing a karate endurance test— all come to an unforgettable defining moment. This is when the dentist walks on stage at graduation, or the black belt is secured onto the karate gi.


However, the rules in dentistry are a little more particular. The "good" about being a specialist is that you are deemed an expert in that field of dentistry. Specializing comes with the fact that this specific sub-category of dentistry will be all you do for the rest of your life if you choose to remain a specialist. Some martial artist masters are content with being experts in their martial arts style. However, others are more exploratory; they may want that sensation and satisfaction of being a bleeding, super-ripped, tattooed MMA fighter who ultimately is known for a "don't mess with me" attitude. As in general dentistry, some want to branch out into dental sleep medicine, implant dentistry, or teaching, researching, and getting educated on multi-disciplines. Since there are so many developing areas (such as sleep dentistry and occlusion/TMD/orofacial pain), general dentists can credential and earn fellowships, masterships, and diplomates in these excellent branches of dentistry.


Furthermore, as the MMA fighter can explore new moves, techniques, and strength building, the general dentist can find a new passion for becoming proficient in what still needs to be researched and studied. Examples are the connection between restorative dentistry to the airway, sleep bruxism, and REM sleep, or how cranial distortions, squamous suture releases (non-invasive), and postural problems connect to TMD and myofascial pain. There is so much to explore and to learn about—and as an MMA general dentist, the sky is not even the limit.


On the other hand, if you want to be an outstanding, diversified general dentist who enjoys, learns, and grows in multiple disciplines, you are still obligated to do each procedure to the level that meets the standard of the specialist. If you cannot, then you must refer to a specialist. Just like all the dilacerated roots for endo, the bony impacted third molars, or the extensive bone grafts from oval window to block grafts, general dentists must refer if they feel their expertise, skill, and experience is not to the level of the black belts out there. With that said, there are benefits to both careers. Both can achieve superstar status and be trendsetters, changing paradigms and improving healthcare worldwide.


About the author

Jerry Hu, DDS, is triple board-certified in dental sleep medicine and holds masterships, fellowships, and accreditations in implant and cosmetic dentistry. He also has published numerous clinical studies in peer-reviewed, highly respected journals such as AACD's Journal of Cosmetic Dentistry and AADSM's Journal of Dental Sleep Medicine. Dr. Hu also teaches for MicroDental Laboratories, and Prosomnus Sleep Technologies. He also has won numerous awards in cosmetic and implant dentistry from Macstudio Model Search by MicroDental, and the IAPA Aesthetic Eye competition. He is currently working on a patent for dental sleep medicine and looking to help the US military out in dental sleep medicine.

Read More
Marketing Communications Marketing Communications

Gary Salman's Black Talon Flies to Protect Dental Practices From Ransomware Attacks

by MicroDental Laboratories

There is a lot of naivete among small practice owners who think being "in the Cloud" means they don't have data on their computers. Black Talon has done thousands of firewall tests, and he estimates that about 60% of dental practices can be readily breached due to undetected vulnerabilities on the devices. Where will dental practices be going in 2023 and beyond in regard to ransomware?

Five years ago, the typical ransomware attack on small practices demanded $5,000. Today the hackers' demands may start at $250,000, says Gary Salman, CEO of Black Talon Security, LLC, with offices in Katonah, NY, and Boca Raton, FL. Even worse, unless a professional cybersecurity firm manages the crisis, the odds are high that the practice will have to close for a couple of weeks for lack of access to its files until the ransom is paid. Otherwise, the patient data will be posted on the "dark web" for other criminals to exploit.

 

Black Talon, founded in 2017 by Salman, has developed a reputation for being the “new sheriff” in dental practice cybersecurity to explain how to prevent attacks or negotiate with thieves who have stolen patient records. He is best known among dentists for serving as the director of Carestream Dental's U.S. oral and maxillofacial surgery and orthodontics divisions for most of the 15 years he was with the company.

 

"I come from a long line of oral surgeons, including my dad, a couple of cousins, and a great, great uncle who was one of the first OMS in New York," Salman told MicroDental Laboratories, explaining his early interest. "My original major at Muhlenberg College was pre-med with plans to become an oral surgeon, but I was already a computer nerd. The summer after my freshman year, my dad asked me to develop practice management software for his practice since there was nothing specifically engineered for his specialty. We met with a family friend who worked at IBM, who recommended we work with a database application and try and engineer it ourselves. I saw an opportunity and switched my major to the first class of a B.A. in entrepreneurial studies. I was flying all over the country in my last two years of college, setting up OMS practices with our software, and by the time of graduation, I had 30 clients."

 

Salman founded OMS COMP to serve his growing client list in the Internet Stone Age of 1991, selling it to PracticeWorks (now Carestream Dental) in 2002. Over the last decade, he began receiving more and more panicked calls from dentists he had known for a long time and had been hit with ransomware. Unfortunately, he had to inform them that his company was not in the cybersecurity business.

 

"I realized there was going to be a huge and growing opportunity in this space because IT vendors were not doing an adequate job of protecting their customers from these types of hackers," he said. "I began talking to friends at Fortune 500 companies about forming a cybersecurity firm that could close this dangerous gap that was seriously damaging businesses, creating chaos, and leading to patient data being made available online in violation of HIPAA. We now serve a wide variety of healthcare clients, professional services organizations, manufacturers, accountants, robotics companies, and software companies."

 

Black Talon has done thousands of firewall tests, and he estimates that about 60% of dental practices can be readily breached due to undetected vulnerabilities on the devices. Even at large, their IT vendors and otherwise sophisticated Dental Service Organizations (DSOs) do not recognize how easy it is for hackers to scan their firewalls for vulnerabilities and breach the network. Most practices believe that if they have installed anti-virus software, that is all they need to prevent hacking. They often do not realize that there are many other ways that hackers can gain access to their network.

 

There is a lot of naivete among small practice owners who think being "in the Cloud" means they don't have data on their computers. Salman says a lot of patient records are stored on x-ray and CT machines, in emails and attachments, on the “front-desk” computers, and hackers can just install screen sharing software that automatically fills in the name and password to log in and browse the history to find whatever they want.

 

"Too often, if there is a breach, the IT vendor will erase the evidence this happened and tell their client that they will just recover the backups, that it was just a ‘cryptovirus,’ and doing that prevents a forensic team from being able to even communicate with the hackers," Salman explained. "The practice doesn't realize that 75% of the time when a breach has occurred, their patient data has been stolen, and they only find out it is online when a government agency tells them their data is available on the dark web. Too many practices are unaware of the HIPAA regulations and unfortunately find out the hard way."

 

When IT vendors get involved in remediating the attack, they often tell clients the problem has been fixed and not to worry, hoping word will not get out and that their ability to protect practices won’t be called into question. But how can Black Talon negotiate terms with cybercriminals and trust them to unlock and decode the data after a ransom is paid?

 

"About five years ago, some hackers were paid and did not return the keys to unlock the encrypted data, but they went out of business because other cybersecurity groups and we started posting notices never to pay them," Salman explained. "Many of these operate like franchises that split the ransom with the provider of the encryption software, so in their industry, there is a need to have a good reputation for cooperating with us. It’s along the same lines of a business getting a bad Yelp review."

 

Late in 2022, Black Talon began installing automatic self-patching solutions to fix exploitable vulnerabilities. “This patching software is far more sophisticated than what IT providers are doing for their dental clients,” Salman said, “and far more advanced than simply relying on Microsoft or Adobe.” Millions have been put in place to eliminate the risks associated with software and hardware vulnerable to exploitation.

 

"It will typically take 30 to 45 days for IT companies to remediate the vulnerabilities we detect, which is too long since cybercriminals typically can build exploitation kits within 10 days," he explained. "Hackers are also increasing the speed of their attack. They used to dwell within the system for 3 to 4 weeks. Now, they get in, steal the data and launch their attack within days."

 

Where will dental practices be going in 2023 and beyond in regard to ransomware?

Salman predicts "autonomous identification and remediation by those who understand they are in a war with a very sophisticated enemy.”


Featuring

As the CEO and co-founder of Black Talon Security, Gary Salman is dedicated to data security and understanding the latest trends in the industry, particularly as they relate to healthcare. He has decades of experience in software development and computer IT and developed one of the first Cloud-based healthcare systems. As a sought-after speaker and writer, Gary also lectures nationally on cybersecurity threats and their impact on the healthcare industry. He has lectured and trained tens of thousands of practices across the U.S. on how to maintain “best practices” in cybersecurity and has been featured in over 70 national publications and news stories in the medical, dental, legal, and financial industries. In addition, Gary has over 17 years as an instructor at West Point and is involved in law enforcement. He is also a member of InfraGard.

Read More
Marketing Communications Marketing Communications

Five Keys to Being a More Productive Dentist and CEO

by Dr. Megan Shelton

The production of dentists can vary greatly. Some dentists produce well over $1,000,000, while others make a few hundred dollars. So why the difference?

The production of dentists can vary greatly. Some dentists produce well over $1,000,000, while others produce a few hundred thousand dollars. So, why the difference?

There are a lot of factors to consider when it comes to the ability of a dentist to be productive. How a doctor approaches patients and situations is critical. Let’s review a few components that can improve your productivity (in no particular order):

COMMUNICATION SKILLS

The average dentist’s case acceptance for established patients is 50-60% and only 25-35% for new patients. That’s wild because most of what we prescribe for patients is need-based and will save them money in the end. Acceptance is low because communication is poor. If you can boost your case acceptance by even 10%, it would dramatically increase revenue for your practice. Most of us have millions of dollars in untreated dentistry over a few years. And no, in most cases, it isn’t about the money; that is just the excuse we hear and choose to accept. People buy the things they want; we didn’t make a case to demonstrate to the patient that dentistry is valuable and applies to what is important to them.

SCHEDULE

Either you own it, or your patients do. An office should not have more than 9% of failed appointments on the hygiene schedule and less than 1% on the doctor’s schedule. It is easy to blame the economy, the patients, and COVID, yet the reality is that those are only excuses for the lack of systems an office has in place. There are other components of scheduling that can affect your productivity, such as when and how you schedule certain procedures. The most important of all is communication--the words we use (or don’t use) have a massive effect on this. Improving ourselves, our communication, and our systems will fix any cancellation issues you run into.

SKILL SET

Increasing your skill set gives you more procedures to provide and more knowledge to have better conversations surrounding the value of dentistry. If you only provide fillings and crowns, this severely limits not only what you can offer a patient but also keeps you near the lower end of profitability. If you don’t have a full schedule for weeks, then you might want to look at increasing your skill set. If you have a full schedule that is unproductive, you probably should investigate efficient and higher-end services.

COLLECTIONS

While most focus tends to be on how to produce more, many tend to forget that actually collecting that money is just as important. One should have over a 99% collection rate, but the average dentist has 91%, with many well below that. First, collect the money before the work is done. Second, create value and treat the patient well. Third, have very accurate insurance estimates. If you do those things, you will have fewer collection issues.

EFFICIENCY

Finding ways to get more done in the same hour is huge for our ability to generate a good income in less time; to work less. This is the difference between busy and productive. Empower your team to do what you pay them to do. The way we were trained to do things in dental school was not necessarily the best way; it was only the best way to teach it.

*

At the end of the day, to be a high producer, you can’t just get the dentistry right; you have to get everything right.  There is no gold pill or easy road; there are many small tricks that equate to better outcomes. Learning to find better ways and learning from those who have done it before me has made an enormous impact on my career and life. Stop placing self-limiting beliefs on yourself and stop making excuses. Start listening to those who have done what you want to do, hire a coach, put in the work, and be consistent.


About the author

Dr. Megan Shelton is a restorative and cosmetic dentist in Southern California. Dr. Shelton attended the University of Louisville School of Dentistry. She continued her education at the Kois Center and graduated in 2021 and is now a Mentor at the center. Her training  allows her to predictably treat patients with complex problems. She is known as a leader in her industry for her profitability and implementation of digital dentistry, restorative materials, responsible esthetics,  and continuing education into her private practice and is now coaching other dentist CEO’s  to do the same through her consulting firm, Shelton Solutions. @doctormeganshelton @sheltonsolutions_

Read More
Marketing Communications Marketing Communications

Compassionate Dental Marketing: Why Giving Practices Grow

by Adrian Lefler

Charitable giving is a valuable way to promote your practice and fuel practice growth. Today's patients, especially millennials, are more conscientious consumers than any generation before them. They want to know they're receiving high-quality services from companies with good labor practices and respect for their customers. What does this mean for a local dental practice?

Sure, having a dental practice that does good has its intrinsic rewards. Building a positive image for your practice is great for team morale. But there are other benefits of sharing your charitable efforts in your dental marketing campaigns.

Today's patients, especially millennials, are more conscientious consumers than any generation before them. They want to know they're receiving high-quality services from companies with good labor practices and respect for their customers.

A study from Nielsen showed that people are more likely to spend money with a company if they know it is involved in ethical business practices. And millennials report that they want their companies to tell them about the good things they're doing for society.

What does this mean for a local dental practice? Your patients and potential patients want to see that you're making a difference in the world. They must trust that you care about your patients, team members, and community. By doing so, you prioritize human relationships over "selling dentistry," which is the dental brand most dentists should want for their practice.

 

HOW CHARITABLE DENTAL MARKETING CAN HELP YOUR PRACTICE GROW

When patients see that you are focused on making a difference, they automatically assume other areas of your practice, such as cutting-edge technology, customer service, and quality of care, are excellent. As a result, the overall perceived value of your dental practice will increase in their minds.

 

3 CHARITABLE DENTAL MARKETING IDEAS

1. Support a Dental Charity Organization

Dentists and dental team members derive a lot of fulfillments from giving back. Not only does it make them feel good, but it also cements the practice's values and enhances its connection with local patients.

Dentists have a unique opportunity because they can make a positive difference in patient's lives by improving their quality of life and oral health. 

Burnout reduction is an often-overlooked benefit of participating in charitable dental marketing. When a person is involved in philanthropy, it's an expression of gratitude that decreases burnout in the dentist and the team.

Many dental charities would love participation and support from your practice. An organization that MicroDental has worked with for years is Give Back A Smile, which is an AACD charitable foundation. If you have yet to be involved with this organization, we encourage you to visit their website to learn more.

Here is a list of the top charitable dental marketing organizations and their contact information.

 

2. Whiten Patient Smiles for Charity

If you're interested in supporting children's charities, running a whiten smiles for charity day is an effective campaign that will help children in need in your community.

You block out one day and whiten smiles for free. The proceeds are donated to local and national charities supporting children's charities.

We've developed a digital marketing campaign and instructions on how to run a one-day whitening event. Everything is ready to go. You can download the One-Day Whiten For Charity Campaign materials here.

 

3. Celebrate Your Patients' Life Events and Donate

Your social media posts are an authentic way to show how your practice feels about patients and team members. Regular posting builds your practice brand as well as followers. But many dental practices need help knowing what to post about.

A creative and highly engaging post strategy is celebrating your patient's life events. Birthdays, anniversaries, leaving on vacation, and having a new child are all great opportunities that your practice can highlight. Posts like these show that you are conscious and aware of your patients' lives.

When you post the photo or video, mention that you're making a small donation on behalf of your patient to a local charity. Use the Life Events Social Sign Pack to help get an excellent patient photo as simple as possible.

Remember to stay HIPAA compliant when you post patient photos. HIPAA regulations require a signed authorization form for each image posted online. If you need a proper photo release form, you can download one here.

 

CONCLUSION

Charitable giving is a valuable way to promote your practice and fuel practice growth. Don't hesitate to mention your philanthropic contributions online. Another great way to do this is to add a page to your dental website design titled "Community Outreach." On this page, add photos and descriptions of your involvement in the community.

 


About the author

Adrian Lefler is a dental marketing expert, founder, and Chief Marketing Officer at My Social Practice. He lives in Draper, Utah, with four super snarky kids, a gorgeous spouse, one awesome dog, and one dumb dog.

Read More
Marketing Communications Marketing Communications

A Thanksgiving Tale of Two Patients

by Dr. Peter Auster

I was there to help change Mariel and Chantal’s lives, but it happened quite the other way. We were in the Jericho Baptist Church in Providenciales, Turks, and Caicos. The Great Shape 100 Smiles dental team is the largest volunteer dental charity in the world. My goal is to re-create a patient’s smile. This makes it easier for the patient to find a job in tourism, the predominant industry on most islands…

I was there to help change Mariel and Chantal's lives, but it happened quite the other way. We were in the Jericho Baptist Church in Providenciales, Turks, and Caicos. When most people think of Caribbean islands, they imagine beautiful resorts with fabulous sunsets and beaches. While those are accurate descriptions of parts of the islands, they do not remotely describe the livelihoods of its residents. Jobs are scarce, pay is minuscule, and poverty is a way of life for most of the population.

 

The Great Shape 1000 Smiles dental team is the largest volunteer dental charity in the world. This year's t-shirt for the group reads: "HOPE, One Love, 2022." Our job is to bring some "hope," one tooth at a time. I am privileged to be a "restorer," not an "extractor." My goal is to re-create a patient's smile. This makes it easier for the patient to find a job in tourism, the predominant industry on most islands.

 

Mariel appeared at the clinic with decay on virtually every tooth. This is not the kind of decay most of us see in the U.S. It is deep black decay, encompassing 30-60% of the tooth's surface area, and has been there for more than ten years. Amazingly, many of the teeth were salvageable, and the bacterial invasion had not caused pulp exposures. Sadly, it was impossible to know this until we removed the dense mounds of pulverized tooth structure. X-rays are hard to come by in volunteer settings, but thankfully, Great Shape projects now come equipped with portable X-Ray machines. Still, carious exposures can be challenging to read in decades-long decay. Oh, by the way, I forgot to mention that Mariel was only 19 years old.

 

Mariel's decay included filled-in black semicircles between teeth numbers 8 and 9, #10mfl, 6mifl, and 11mifl. Number 7 was missing - having been extracted and not replaced years earlier. This type of work is complex under normal work conditions, so it's not much better when you add in 90-plus temperatures indoors, equipment breakdowns, composites that melt in the mouth, dental chairs that are slightly more advanced than lawn chairs, no overhead lighting, and language barriers with many patients.

 

We accomplished our goal and ended up with a surprisingly accurate shade match for Mariel. A tip to dental volunteers: always bring enamel AND dentin shades, or else you end up with an overly translucent or opaque result!



My assistant, Allyssia Pena, and I were concerned about Mariel's reaction to the work. As stated before, tooth number 7 was missing, so her smile still contained ample open space. We handed her the mirror, and she smiled widely with exuberance as if, for the first time. And then she cried, Allyssia cried, and so did I. Her first comment was, "I can smile again!" I asked her, "When was the last time you smiled?" She stated, "when I was in Kindergarten."

 

We receive that reaction often at our clinics. Kindness and appreciation are the reasons we keep coming back every year. Imagine having a missing front tooth even AFTER treatment as a 19-year-old woman and still being beyond thrilled seeing your smile.

Chantal, an exuberant young woman of 25 years of age, had the most significant effect on us of any other patient. And yet, we never treated her!

She appeared with a broken, dark brown tooth #8. She had a big smile every time we saw her, brown tooth and all. Allyssia and I virtually salivated at the thought of making her smile whole. Then, we saw the X-ray. Years earlier, she had a failing root canal treatment that she thought was removed and replaced by a local dentist. Sadly, it was not. A huge access hole remained, and the entire root was riddled with decay; even the root had become a shell. The only answer would be an extraction and a bridge, implant, or at least a partial. Sadly, these options were not available on this project. We did not even have material available to take an impression for a flipper. We told her we could do no more than extract her tooth. She never stopped smiling and thanked us effusively.

Chantal worked at one of the restaurants at our hotel. She would run up to us with a big smile, hug us, and thank us for our kindness, even though we had done virtually nothing to help her.

 

The sweetness, appreciation, and genuine kindness these women showed us were life-changing. We could not leave the hotel without saying goodbye to Chantal and sharing photos of Mariel with all of our colleagues.

 

Both stories emphasize the sheer beauty of volunteerism-moments we will discuss for the rest of our lives. A little goes a long way. My dental world and life have been forever changed by moments like these over the past twelve years. If you have yet to volunteer to help people in need, find a way to get there. Volunteer to treat patients in the inner city, on a Native American reservation, for American Military Veterans, or join us in a 3rd world country.

 

Thanksgiving is a perfect moment to celebrate our reasons to be thankful. My list includes my family, friends, office family, and the food on our table. The pure joy of helping humans in need cannot be discounted on Thanksgiving. Regardless of your role in dentistry on the treatment or laboratory side, those moments will be remembered as huge positives when evaluating your year and life.

 

Thank you to our Great Shape family and the awesome people at MicroDental Laboratories for allowing me to spread the word!

Happy Thanksgiving!


About the author

Dr. Peter Auster continues thirty-five years of cosmetic and reconstructive dentistry in his private practice in Pomona, NY. He has written dozens of articles for major dental publications. He is a Fellow of the International College of Dentists and the American College of Dentists.

Dr. Auster is proud to be a speaker and product reviewer for Catapult Education. He completed two terms on the board of directors of the AACD, was chair of their leadership committee and is currently, the 2022 chairman of their Professional Education Committee. He is a “Dawson Scholar” and received a “Concept of Complete Dentistry Award” from the Dawson Academy. Dr. Auster is a graduate of the University of Pennsylvania School of Dental Medicine.

Read More
Marketing Communications Marketing Communications

How Not to Get Hacked on Social Media

by Adrian Lefler

Save yourself from a massive headache by securing your online accounts. In this post, I'll explain how we got hacked, why we were hacked, and what we've done so that it doesn't happen again.

SAVE YOURSELF FROM A MASSIVE HEADACHE BY SECURING YOUR ONLINE ACCOUNTS 

On July 11th this year, a hacker accessed our (My Social Practice) Facebook page and began running weight loss ads using our company credit card. Luckily we caught it almost immediately and canceled our credit cards.

But once the hackers got into our account, it took almost a month to regain control. 

In this post, I'll explain how we got hacked, why we were hacked, and what we've done so that it doesn't happen again.

*

Watch the "Don't Get Hacked Like We Did" Webinar Recording

How We Got Hacked

It's my fault! It's all my fault! 

I haven't updated my passwords for years. A hacker was able to get into my personal Facebook page using one of my two obvious passwords. 

They could have accessed most of my online accounts, including my bank accounts, because I haven't used high-security passwords. I'm lucky that it was only Facebook.

Once they got into my Facebook account, they could access My Social Practice's Facebook page because my personal Facebook account is an admin on the page. 

What Happened Once the Hacker Got Into Our Page

I received an email from Facebook at 2:58 am letting me know that somebody was changing the email I used on Facebook. I was asleep at this time and didn't see the email. 

Here is a screenshot of the email I received. I've blacked out my email but left the email the hacker used. 

Three minutes later, at 3:01 am, I received a second email from Facebook confirming that my email had been changed. 

Once my email was changed, the hacker removed every one of the admins on our Facebook page. Replacing them were bogus Facebook accounts. 

Removing the admins essentially locked everyone at My Social Practice out of accessing our Facebook page. 

The hacker immediately went to work running weight loss and bra ads using our company credit card. 

Before anyone had woken up and realized that we were hacked, a bill of almost $5,000 had been spent.

Why Was The Hacker Running Weight Loss Ads?

Much of the online advertising industry runs on affiliate networks. An affiliate network allows someone to run an ad on behalf of a company. If a consumer clicks on the ad and purchases from the company, a commission is paid to the advertiser. 

Another reason online accounts get hacked is intentional vandalism. Some people hack because they're angry with the company. 

Hacking has gone mainstream. You may have heard of Anonymous; it is a covert hacking group. Recently they've been hacking Russia.

This particular hacker ran weight loss ads from our account because they received a commission if someone clicked on the ad and then purchased a product. 

What Did We Do To Regain Control?

The first thing we did was cancel our credit cards. Once the cards were not working, we submitted a ticket to Facebook about the hacker

Here is a screenshot of our ticket using the link above.

It took almost a month to regain control of our account. Even though it was obvious to us that we had been hacked, Facebook had to do a ton of verification to put everything back together. The process required dozens of emails and messages back and forth.

Eventually, we were refunded the hacker's ad spend. 

How Not To Get Hacked?

Even though we've been talking about Facebook, any of your online social media accounts can get hacked. Even dental websites can get hacked. 

For a medical professional regulated by HIPAA, you should be highly concerned with patient data. You have to make sure your site is secure. Remember that prevention is the best course of action. 

Here is a message about how to not get hacked by Adam Mosseri, head of Instagram.

After the hack, I changed all my passwords to high-security ones. I used a software app called LastPass. I found the app to work exceptionally well. 

I will say that updating all my passwords was a severe pain that took almost three days of pulling my hair out. Now that they're updated, though, I feel much better. 

Are You In Need Of More Help?

Although My Social Practice is not a security company, thousands of clients rely on us for online dental marketing support. 

We often run into situations where our clients need guidance and support on security issues. We can help dentists and dental team members navigate issues like the one discussed in this article.


About the Author

Adrian Lefler is a dental marketer and a key member of the dental marketing team at My Social Practice. He has been involved in digital marketing for many years in the dental industry. Adrian has helped thousands of practices grow and thrive through digital marketing. Adrian and his wife Emilie have four children and live in Suncrest, Utah.

Read More
Marketing Communications Marketing Communications

“Always Look on the Bright Side of Life” and Dentistry

by Dr. Peter Auster

My personal alarm went off during my 15th year in dentistry. I invite you to look at your dental world. Do you come home happy or devastated every day? For many of you, like my past self, who come to the office unhappy and come home just as unhappy, it is time to seek “the bright side of life” in dentistry.

My personal alarm went off during my 15th year in dentistry. I had just walked into a one-hour photo store. Remember those places? (You probably don’t if you are under thirty). I was excited about picking up photos of my daughter’s play. The salesperson told me that the pictures weren’t ready yet. So, I yelled at her. Within 5 minutes, I knew something was wrong… with me. How could I let loose on another human being I did not know for such a minor issue? It was time for me to evaluate myself, not her.

And so, I did. I realized that I was miserably unhappy in my line of work: dentistry, and I was taking that misery home with me every day. My way of turning my dental world around was to spend years going to the Dawson Academy and then 12+ years involved with the AACD until I genuinely became proud and even thrilled with my dental world.

I invite you to look at your dental world. Do you come home happy or devastated every day? It is hard to be a human, much less a dentist, in 2022. We live in a dental world still destabilized by Covid but also confronted by dental inflation, terrible political wars, staffing issues, and insurance companies who constantly look for reasons NOT to pay dental claims. Add to that “dental imposter syndrome“ the feeling many dentists have that we are not worthy of doing what we do – that others are confidently prepared, and we are not.

For many of you, like my past self, who come to the office unhappy and come home just as unhappy, it is time to seek “the bright side of life” in dentistry.

In reality, most of us are VERY lucky. We either own a practice or work in one and have a 6-figure income. We are dutifully employed, and most of us weathered the pandemic pretty well. We get to use our hands and play with “cool stuff” every day. A wise soul (my wife) once told me that dentists have it better than people in most professions: we can see how we have helped patients every day with our own eyes. Very few professions can say that.

*

HERE ARE SOME SUGGESTIONS FROM AN EXPERIENCED DENTAL SOUL:

1) Support and SHOW that you treasure your best employees – they need to know you feel that way. You would be surprised how far a positive note goes to both of you feeling great.

2) If you have employees who make you or others feel worse about coming to work, do not wait. Get rid of them – WHO we spend our days with can make or break our week.

3) Hire employees because of their kindness. Other skills can be learned.

4) If you dread doing a procedure, either find ways to get better at it or STOP DOING IT! You can find other procedures you enjoy more (i.e., sleep, esthetics, placing implants, digital dentistry).

5) Find a practice management company to help you (I did this far too late in my career). It’s expensive but money WELL spent.

6) Get better at what you do! Your staff appreciates you more, and you appreciate yourself more when you do new and better procedures. Consider the AACD, the ASDA, the AAID, Dawson, Pankey, and Seattle Study Clubs – they want you to get better, and you will!

7) Is insurance getting you down? It is still possible to drop out of plans that are making you miserable. Ask those of us who have, even during a recession.

8) Think about what we have that so many others do not: work to go to; little chance of losing our jobs; patients who are loyal to us; the ability to work hours that correspond with our life needs; decent to excellent incomes.

*

In conclusion: It’s time to look on the bright side of life and dentistryOur happiness is under OUR control. Look back at the GOOD things that happened today. Try focusing on those for a change… it will change your life.


About the author

Dr. Peter Auster

Dr. Peter Auster continues thirty-five years of cosmetic and reconstructive dentistry in his private practice in Pomona, NY. He has written dozens of articles for major dental publications. He is a Fellow of the International College of Dentists and the American College of Dentists.

Dr. Auster is proud to be a speaker and product reviewer for Catapult Education. He completed two terms on the board of directors of the AACD, was chair of their leadership committee and is currently, the 2022 chairman of their Professional Education Committee. He is a “Dawson Scholar” and received a “Concept of Complete Dentistry Award” from the Dawson Academy. Dr. Auster is a graduate of the University of Pennsylvania School of Dental Medicine.

Read More
Marketing Communications Marketing Communications

Why 5-Star Google Reviews Are Vital to Practice Growth

by Adrian Lefler

There is a little spread in the stats, but somewhere between 77% and 86% of people looking for local business use the Google maps application to find a result. The same goes for potential patients looking for a new dentist. If building your Google review profile isn't right up at the top of your marketing initiatives, you're missing the boat.

There is a little spread in the stats, but somewhere between 77% and 86% of people looking for local business use the Google maps application to find a result. The same goes for potential patients looking for a new dentist.

I'm not sure if those numbers mean anything to you, but for a dental marketer, it's astounding. If building your Google review profile isn't right up at the top of your marketing initiatives, you're missing the boat.


WHY ARE GOOGLE REVIEWS SO IMPORTANT?

Everyone knows that Google reviews are valuable, but not everyone knows exactly why they're helpful.

The word on the street is that Google reviews help you rank higher in the search engine. At least I've heard this at some recent marketing presentations. 

Usually, that claim comes from dental marketing companies selling Google review aggregation software. They're not right, but they're not completely wrong. 

Getting more Google reviews slightly impacts local SEO rankings, but it's not much. I would estimate less than 10% of the local ranking algorithm.

If that claim were true, you would find the dentists with the most reviews always at the top of the Google map. But in our exhaustive local dental SEO research project, which included more than 28,000 dental practices across the USA, we found that it's just not the case. 

Practices with the most reviews did not consistently rank higher than other practices in their area. 

So, don't worry about outranking your competition by trying to get more Google reviews. It's probably not going to work. If you want to outrank your competition, you need to start doing dental SEO, which is another conversation.


THE REAL REASON WHY GOOGLE REVIEWS ARE VALUABLE

Consumers have come to trust Google reviews as much as personal recommendations. Around 50% of consumers a few years ago valued Google reviews as robust as personal recommendations, but now it's close to 90%.

What this means is a 5-star Google review is as valuable as one of your patients recommending your office to their friend. And if you remember back to your college marketing 101 class, you learned that word-of-mouth marketing is the most valuable form of marketing. It's inexpensive and has a high conversion rate. 

The real reason why Google reviews are so valuable is not that it helps you rank higher; it's because you will be chosen over other practices. If you're the third listing on the Google map, but your review profile is kicking some serious booty, you will get the phone call.

We know this because we've been tracking dental practice phone calls through Google maps for years. When a practice's review profile is better than the competition, they start getting more calls, even if their rankings have not gone up.

But, here is the big kicker…


WHY YOUR GOOGLE REVIEW PROFILE COULD BE KILLING YOUR MARKETING

Google reviews have become so ubiquitous and trusted that they're now becoming a filter for all marketing. 

What do you think happens when a patient drives by your practice and says to themself, "They're close; I should check them out." What about when someone opens your print mail piece? How about when they see your billboard? 

It doesn't matter how a potential patient finds out about your practice. It could be through referral marketing, billboards, driving by, or any other marketing initiative, but close to 90% of potential patients will check out your Google review profile before calling your practice. 

If your review profile - for a lack of a better word - sucks, how much marketing investment are you losing? Just listen to what Jessica Schrippia from the #1 Google reviewed practice in America says about it. Or hear what Oscar from Antoine Dental Center did when they got more than 2,000 Google reviews.


WHAT TO DO TO IMPROVE YOUR GOOGLE REVIEW PROFILE?

You need to put a plan together and get some buy-in from your team. An excellent place to start is to set an aggressive goal in a short time frame. 

If you read through the Google review annual report, you'll see how many reviews some of the best practices in the USA have. You'll also be able to see how many reviews practices can acquire in a month. Those stats should help you set a goal. 

Then download this complimentary Google review aggregation campaign. The kit will help you coordinate and get your team on the same page, set a goal, and launch.

I hope this helps and if you have any specific questions, please reach out.


About the author

Adrian Lefler is a dental marketer and a key member of the dental marketing team at My Social Practice. He has been involved in digital marketing for many years in the dental industry. Adrian has helped thousands of practices grow and thrive through digital marketing. Adrian and his wife Emilie have four children and live in Suncrest, Utah.

Read More
Marketing Communications Marketing Communications

Treatment Planning for Implant Fixed Complete Dentures

by Dr. Nadim Z. Baba

Edentulism is more widespread, will remain a challenge, and is a growing public health concern. There is a constant need to restore completely edentulous patients because people live longer. As clinicians, we must follow some guidelines for decision-making to determine if the patient is suitable for such treatment and to ensure the outcome is predictable.

Globally complete edentulism varies between regions and countries. More than 240 million patients are partially or completely edentulous (1,2). In the United States, 37 million Americans are edentulous: 26% are between the ages of 65 and 74 (3). Edentulism is more widespread, will remain a challenge, and is a growing public health concern. There is a constant need to restore completely edentulous patients because people live longer. Economically affluent baby boomers account for 20% of the US population, driving future market growth. There will be continued growth of edentulous patients and increased demand for complete dentures in the next 30 years. In 2019 only 314,000 Americans underwent full arch procedures. There is still room for implant fixed complete dentures (IFCD) in our practices. Social media and the internet contribute to the dental education of our patients and make them well-informed about the implant fixed complete denture as a treatment modality. As clinicians, we must follow some guidelines for decision-making to determine if the patient is suitable for such treatment and to ensure the outcome is predictable.



MEDICAL HISTORY

  • The diagnosis and treatment planning for implant fixed complete dentures begins with a detailed assessment of each patient's medical history and chief concerns. The patient interview is an integral part of the patient's diagnostic workup. Clinicians should ensure that the general health of every patient undergoing elective implant treatment has been thoroughly assessed, given that such treatment includes both surgical and restorative phases.

  • Check the patient vital signs and review the medication and prescriptions. Suppose significant issues are identified in the medical history. In that case, additional medical assessments should be recommended, some of which may warrant laboratory testing (complete blood count, urinalysis, or sequential multiple analysis of the blood work) before treatment is ever initiated.

  • Implant dentistry should not be recommended for patients with severe systemic diseases. The primary disease processes that will likely preclude the delivery of dental implant treatment typically are of cardiac or pulmonary origin.



DENTAL HISTORY AND DATA COLLECTION

A patient's dental history, thorough clinical examination, and careful acquisition and evaluation of data that represent the critical findings are needed to arrive at an accurate diagnosis and appropriate treatment plan. Examination of the maxillofacial extra-and intra-oral hard and soft tissues, appropriate preliminary impressions, accurate records required to articulate maxillary and mandibular casts, and routine radiographs and photographs represent vital information that should be carefully collected.

The oral hygiene status should be noted along with the periodontal charting. Determining tissue biotype, bone volume, quality, and the impact of the smile line and the lip line on the esthetic prognosis for the proposed prosthesis are other factors to consider when developing an effective treatment plan for an edentulous patient.

  • Diagnosis for implant fixed complete dentures for a completely edentulous patient always begins with a thorough clinical extra-and intra-oral examination, a panoramic radiograph, and a Cone Beam Computerized Tomograph (CBCT).

  • The occlusal vertical dimension (OVD) should be assessed. Occlusal vertical dimension (OVD) changes are observed when teeth are missing. However, evaluation and re-establishment are sometimes tricky, with variations in the dimension. At times, it is difficult to determine the jaw relationships of edentulous individuals. A wax trial denture ("mock setup"), a complete interim denture, or an immediate complete denture should be fabricated to preview the occlusion, vertical dimension, lip support, and esthetics. This setup also provides valuable information regarding the required space needed for IFCDs

  • Check the vertical space available. Vertical space assessment should begin by measuring the distance between the residual ridge crest and the upper lip or lower lip, depending on the treated arch. It is recommended to measure this dimension with the lip at rest and during a maximal smile. It is important to determine if the edentulous ridge is visible during smiling, as this indicates the prosthesis-mucosal junction will be visible. Such visibility can produce an esthetic liability.

There must be sufficient space available for the desired framework, prosthetic teeth, and denture base material to provide adequate strength, sufficient anchorage for the denture teeth, and be esthetically pleasing. Two millimeters of resin denture base thickness over any metal framework is proposed as the minimum thickness for resin base strength. For a metal-ceramic IFCD, the required vertical space is 15-20 mm, and for All-ceramic IFCD, the required vertical space is 14-16 mm.



DIGITAL TREATMENT PLANNING

Recent advances in technology allowed the laboratory to use computer-aided design/computer-assisted manufacturing technology (CAD/CAM) to fabricate surgical guides that can be either milled or printed. These recent fabrication techniques of surgical guides use DICOM data (Digital Imaging and Communications in Medicine) from the Cone Beam Computed Tomography (CBCT) by importing them into a planning software that allows virtual planning of the implant and the prosthesis. The fabricated guides can be bone supported, mucosa supported, or teeth supported. The guides can be made and the drill holes prepared free-hand, using a milling machine, or using computer-aided design/computer-assisted manufacture (CAD-CAM) technology.

Effective communication is imperative when a team approach that includes multiple practitioners is used. Prior to the treatment plan presentation and informed consent, a consensus should be established between the dental team members, including the laboratory technician. Choosing the proper laboratory is crucial to your success.

*

References:

  1. Peterson PE et al. Community Dent Health 2010.

  2. Moreira Rda S et al. J Appl Oral Sci 2010.

  3. US centers for disease control.


About the author

Dr. Nadim Z. Baba received his DMD degree from the University of Montreal in 1996. He completed a Master’s degree in Restorative Sciences in Prosthodontics from Boston University School of Dentistry in 1999. Dr. Baba serves as a Professor in the Advanced Education Program in Prosthodontics at Loma Linda University School of Dentistry, an Adjunct Professor at the University of Texas Health Science Center School of Dentistry in the Comprehensive Dentistry Department, and maintains a part-time private practice in Glendale, CA. He is currently the President of the American College of Prosthodontists and has received several honors and awards including The David J. Baraban Award from Boston University, the Claude R. Baker Faculty Award for Excellence in Teaching Predoctoral Fixed prosthodontics in 2009 from the AAFP, and the California Dental Association Arthur A. Dugoni Faculty Award in 2010. He published a book entitled “Restoration of Endodontically treated teeth: evidence-based diagnosis and treatment Planning” and has lectured nationally and internationally.

Read More
Marketing Communications Marketing Communications

Case Planning for Ivotion Digital Implant-Supported Overdenture

by Robert Kreyer, CDT

Technical treatment planning is a preliminary procedure that demands clinical and technical communication and collaboration. This collaborative analysis of the acquired intra-oral scan data of terminal dentition and soft tissue anatomy is critical to achieving a successful prosthetic outcome.

Technical treatment planning is a preliminary procedure that demands clinical and technical communication and collaboration. This collaborative analysis of the acquired intra-oral scan data of terminal dentition and soft tissue anatomy is critical to achieving a successful prosthetic outcome. To achieve optimal outcomes for an edentulous patient, complete digital denture prosthetics should be treatment-planned and designed to replace lost bone, tissue, and dentition while restoring function, aesthetics, and phonetics. Establishing a definitive digital technical treatment plan with case sequencing procedures and appointments creates predictable success with complete prosthetics.

After this prosthetic data analysis, the clinician and technician should have enough information to design provisional and definitive digital dentures to provide the patient with a successful solution.

The prosthetic plan for the presented case is to extract the remaining terminal dentition and then place implants for maxillary and mandibular implant-supported prostheses. This blog offers a unique way to plan prosthetic cases from an Intra-oral scan using STL design files to improve case presentation and communication between dentist and patient.


Prosthetic Problem:

  • Decreased Vertical Dimension of Occlusion due to missing maxillary and mandibular anterior and posterior teeth

  • Missing anterior maxillary teeth eliminate a reference for tooth size and placement

  • A bite scan is taken in centric occlusion at the collapsed vertical dimension of occlusion

  • Patient Desires Maxillary and Mandibular Implant-Supported Prostheses

Prosthetic Variables:

  • Vertical Dimension of Occlusion

  • Maxillary and mandibular relationship

  • Incisal edge position

  • Prosthetic space

  • Implant placement

Prosthetic Design Solutions:

  • Increase VDO to an average of 42mm intra-vestibular

  • Reduce maxillary and mandibular residual ridges by 4mm anterior and 3mm posterior

  • Arrange teeth using existing terminal dentition as reference for tooth placement in design for immediate conversion denture

Fig. 1

The Intra-Oral Scans are received then data is analyzed for the following:

  • Soft-tissue anatomy

  • Maxillo-mandibular ridge relationship

  • Prosthetic Space

  • Terminal dentition

  • Bone height

Fig. 2

With Prosthetic space analysis, the Vertical Dimension of Occlusion or inter-residual space is evaluated to provide adequate space for the definitive digital prosthesis. When re-establishing the VDO or prosthetic space, the inter-residual ridge space must be increased to allow for the design of the acrylic-resin base, implant bar, and denture teeth. According to the intra-vestibular measurement of scans, a 28.49 mm bite scan must be increased to at least 40mm. In design, a 12.50 mm increase is requested, which will provide a 41 mm intra-vestibular ridge relationship.

Fig. 3

In design, model bases (maxillary gold and mandibular silver) are built to Intra-Oral Scan STL files (green).To ensure proper registration between the base and scan, the speckled areas are visible on residual ridges illustrating a good match between data in the scan and base.

Fig. 4

The terminal dentition is virtually extracted with a 4mm anterior and 3mm posterior tissue and bone reduction to create prosthetic space within the intra-residual ridge relationship. For implant-supported prosthetics case planning, 15mm per arch from ridge crest to incisal edge needs to be factored into the design.

Fig. 5

The denture tooth mold is selected then teeth are arranged using terminal dentition (green) and anatomical soft tissue landmarks as a reference or guide for placement of prosthetic tooth arrangement.

Fig. 6

Looking at the maxillary arch from the occlusal perspective, the denture tooth (white) position can be evaluated in relation to the residual ridge and terminal dentition reference (green). Note the relationship of canine to clinical crown and roots providing symmetry in design for an esthetic and functional arrangement.

Fig. 7

The mandibular arch from an occlusal perspective shows the relationship of posterior denture teeth (white) to the residual ridge crest and terminal dentition reference (green). The middle is maintained and used for maxillary arch anterior tooth arrangement.

Fig. 8

Denture bases are built-in designs with proper gingival contours for margins, interdental papillae, festooning, and border extensions.

This digital workup of intra-oral scans is an excellent and effective tool for case evaluation and patient presentation when transitioning your patient from terminal dentition to complete digital prosthetics.

For more information on this unique digital workflow, contact customer service at MicroDental Laboratories.


About the author

Robert Kreyer, CDT is a third-generation Dental Technician who received his training from the US Army Medical Field Service School in 1971. He is a member of the American Prosthodontic Society, a Fellow of The International Congress of Oral Implantologists, and the past Chair of The American College of Prosthodontists Dental Technician Alliance. Mr. Kreyer received certification from Ivoclar Vivadent as a Biofunctional Prosthetic System (BPS) Technical Instructor as well as from Candulor in Zurich, Switzerland as their Course Instructor.

Robert owned and operated Kreyer Dental Prosthetics from the years 1975 to 2010. In 2010, Robert Kreyer was the first recipient of The American College of Prosthodontists Dental Technician Leadership Award. In 2011, he was selected by the National Board of Certification in Dental Technology as their CDT of the Year. In 2014, Robert Kreyer received the Rudd Award from the Editorial Council of The Journal of Prosthetic Dentistry. He is currently the Director of Removables Prosthetics at MicroDental Laboratories where he focuses on research and development and digital workflows.

Read More
Marketing Communications Marketing Communications

How Dental Practices Can Reduce the Impact of Ransomware

by Gary Salman

Cybersecurity is not just about recovery. It is about protecting highly confidential practice and patient information. In many cases, the owners or managers of a practice do not fully understand the significant operational, financial, emotional, and reputational impacts of a cyberattack. Let’s review the top 10 ways you can minimize the chance of attack against your practice.

Cyberattacks are continuing at an alarming rate, and we see practices being victimized regularly. Hackers are now encrypting and stealing data, forcing the practice to pay the ransom to avoid having their patient data made public.

In many cases, the owners or managers of a practice do not fully understand the significant operational, financial, emotional, and reputational impacts of a cyberattack. While it is easy to dismiss the potential threats or rely on an IT company, this is often insufficient. IT companies cannot provide the advanced security required to protect healthcare offices from sophisticated hackers.

The moment any staff member connects to the internet, there is an inherent risk. Practice managers often say, “I have multiple local and cloud backups, so if I get hit with ransomware, it will be easy to recover.”

Cybersecurity is not just about recovery. It is about protecting highly confidential practice and patient information. In most of the cyber-attacks we have worked on, the hackers have stolen most or all of the victim’s data and either threatened to release or actually released the data.

Can you afford to close your doors for 2-3 weeks while this is investigated and remediation is performed? Would your practice survive financially, reputationally, and operationally from this type of attack?

Let’s review the top 10 ways you can minimize the chance of attack against your practice.


10. STRONG, UNIQUE PASSWORDS AND PASSWORD MANAGERS

Utilize password management tools to create and manage strong passwords. If you opt not to use a password manager, make sure you create unique passwords for every website and application you use with a minimum of 14 characters, including a combination of numbers, letters, and special characters.

9. MULTI-FACTOR AUTHENTICATION

Multi-Factor Authentication (MFA) or Two-Factor Authentication (2FA) is a powerful tool that utilizes SMS text messaging or a security APP such as Google Authenticator to validate your login.

8. ENCRYPTING DATA AT REST

A tool such as Microsoft BitLocker can help protect data at rest from exploitation. BitLocker encrypts all the data on your hard drive so that if the device is lost or stolen, a criminal cannot access the contents.

7. ONLINE AND OFFLINE BACKUP PRACTICES SHOULD USE ONLINE AND OFFLINE BACKUPS.

You typically do online backups in the Cloud. Every week, you should copy all your data to an external hard drive and always physically disconnect the hard drive from the network.

6. SECURITY RISK ASSESSMENT

A Security Risk Assessment (SRA), conducted by a credentialed security expert, helps a practice identify and understand where it has operational risk.

5. CYBERSECURITY AWARENESS TRAINING

Cybersecurity awareness training empowers all employees to identify and mitigate attacks that occur through phishing, spear phishing, vishing, business email compromise, etc.

4. INTERNAL AND EXTERNAL VULNERABILITY MANAGEMENT

Devices, software, computers, and firewalls all have vulnerabilities (think of these as “unlocked doors and windows” on your network) that hackers can potentially exploit. Firewalls should be scanned at least monthly, and computers scanned daily.

3. PENETRATION TESTING

An ethical hacker, who assumes the role of a criminal, will perform a penetration test, and attempt to breach your network and/or data; this must be conducted at least annually.

2. EXTENDED DETECTION AND RESPONSE (XDR)

XDR software is the next generation of “anti-virus” technology that helps organizations minimize their exposure to cyber events. It typically utilizes Artificial Intelligence (AI) and is designed to act on its own by “killing” malicious code and isolating computers.

1. SEEK A SPECIALIST... NOT A GENERALIST

One of the most significant mistakes practices make is relying on a generalist like an IT company or Managed Service Provider (MSP) for security. Most IT companies and MSPs specialize in building and maintaining networks, not cybersecurity. It would be best if you worked with a cybersecurity specialist with advanced training, tools, and certifications to ensure that your network is properly secured.

*

Taking these steps and providing your doctors and staff with the knowledge to identify potential risks can significantly reduce the chances of your practice being the victim of ransomware or a cyberattack


About the Author

As the CEO and co-founder of Black Talon Security, Gary Salman is dedicated to data security and understanding the latest trends in the industry, particularly as they relate to healthcare. He has decades of experience in software development and computer IT and developed one of the very first Cloudbased healthcare systems.

As a sought-after speaker and writer, Gary also lectures nationally on cybersecurity threats and their impact on the healthcare industry. He has lectured and trained tens of thousands of practices across the U.S. on how to maintain “best practices” in cybersecurity and has been featured in over 70 national publications and news stories in the medical, dental, legal, and financial industries. In addition, Gary has over 17 years as an instructor at West Point and is involved in law enforcement. He is also a member of InfraGard.

Read More
Marketing Communications Marketing Communications

Why TikTok and Instagram Reels is the Future of Dental Video Marketing

by Blake Hadley, President at My Social Practice

Everyone in the dental marketing space is talking about dental video marketing. Why? Why is video so crucial in dental marketing efforts? In this post, we'll discuss why video is essential, which software and platforms to use, and we'll give you tons of great dental video ideas and examples. Let’s get started!

Everyone in the dental marketing space is talking about dental video marketing. Why? Why is video so crucial in dental marketing efforts? In this post, we'll discuss why video is essential, which softwares and platforms to use, and we'll give you tons of great dental video ideas and examples. 

In addition, we've created a TikTok and Instagram Reels eBook with even more ideas. No time to waste. Let's get started!

*

Why is Video so Flippin' Important?

THE PANDEMIC HAS BEEN VIDEOS' BEST FRIEND

Fig 0. Results of Pandemic

PEOPLE LOVE WATCHING VIDEOS 

According to recent research by Wyzowl, consumers spend an average of 16 hours watching online videos every week, a 52% increase in the last two years. 

Consumers also have reported that they want to watch branded content, and in 2020, 86% of consumers said they'd want to see more videos created by brands. 

Additional research studies support the idea that dental video content is better than other forms of content at educating and attracting consumers. 

Fig 1. Video Content is Awesome Statistics

PATIENTS PREFER VIDEOS OVER OTHER CONTENT 

Videos explain information more quickly, and they also have the ability to relay subtext, irony, humor, and attention-grabbing elements, better than text. You can make almost any topic fun and more interesting with video.

Last year Mark Zuckerberg said…

Fig 2. Zuckerberg Video Content Quote

VIDEOS ARE MORE ENGAGING AND SHAREABLE THAN OTHER CONTENT FORMS

Social media sharing has forever altered digital dental marketing. The value of creating video content that is engaging and shared by your patients online ends up saving you marketing costs over paid advertising. 

You have a choice to either create video content that will be shared online or pay an advertising cost to push non-creative, non-engaging content to the top of a consumer's feed. To be clear, unless you have engaging content, you'll have to pay for people to see it. When you start creating online content, the best of both worlds is, to begin with, great video content and then use paid advertising to help promote. Not the other way around. 

Which Hardware and Software to Use?

Video Hardware: There is absolutely no reason to lug around a high-end digital camera or rent a studio. Your mobile phone camera (if you have a phone that's been purchased in the last few years) will shoot at a resolution well beyond what is required online. 

And let's be honest, you've got so much on your plate that you probably don't have time to do much more than pull your phone out of your pocket and shoot something on the fly. 

Video Software: You're not going to need intense editing software. The video editors in Instagram, Tiktok, Facebook, and Youtube have all the options that you're going to need. 

Which Distribution Channels Should You Use?

You want to distribute your content on the platforms that your local community is using. Facebook, Instagram, TikTok, and Youtube are the best places to start. 

Did I just hear someone say, 'What about Twitter and Pinterest?

Twitter is more of a news outlet. Think about it. Do you go to Twitter to find information about a local small business? The same goes for Pinterest. Although I would say that behind the four platforms I've mentioned above, Pinterest would be my fifth favorite distribution channel.

How to Begin With Video Dental Marketing?

Let's Start With Instagram

Instagram is definitely a place you want to focus on. Many practices focus on Instagram over Facebook, although we recommend publishing to both platforms. 

There are a few ways to post on Instagram.

INSTAGRAM FEED POSTS

Visually tell your practice story and showcase your team, patients, and services. Inspire potential patients to connect with your practice.

Fig 3. Instagram Feed Posts

INSTAGRAM STORIES

Allows you to share moments from your day, not just the ones you want to keep on your profile. Multiple photos and videos appear together in a slideshow format title, your story. They disappear in 24 hours. 

Fig 4. Instagram Stories

INSTAGRAM LIVE

Allows you to broadcast to your followers in real-time. They are used by more than 100 million people a day.

Fig 5. Instagram Live

INSTAGRAM REELS

Reels are short, entertaining videos that allow you to express your practice culture, creativity, and brand. 

Fig 6. Instagram Reels

Now Let's Take a Look at TikTok

TikTok is a rising star in social media platforms and, according to some reports, the fastest growing social media app. It's built a massive database of users and managed not to be clobbered or bought by Facebook (Meta). Take a look at the active users on Tiktok.

Fig 7. Active Users on TikTok

Here is the increase in app downloads over time.

Fig 8. TikTok App Downloads

TikTok is a short-form video-sharing application. It allows you to make quick 60 second videos about your practice culture, team, patients, and oral education. 

Fig 9. What is TikTok


TikTok and Instagram are All the Rage, but Don't Forget About Facebook.

Almost everyone has a Facebook page. It's a stalwart in dental social media marketing. Routinely we see client practices effectively find new patients with Facebook. 

There are a few ways that you can publish videos on Facebook. 

FACEBOOK COVER PHOTO

Unlike your profile picture, your Facebook cover photo is a large banner graphic across the top of your page and appears on your timeline. They also allow you to upload a video here, which is a great place to make a good first impression. 

Fig 10. Facebook Cover Photo

FACEBOOK FEED POSTS

Feed posts are a constant update section of photos and videos on your Facebook homepage. You want to post custom, authentic content to your feed.

Fig 11. Facebook Feed Posts

FACEBOOK STORIES

A great way to connect with your followers and share photos and short videos. 

Fig 12. Facebook Stories

FACEBOOK LIVE

Live allows you to live stream, and anyone can watch via phone, computer, or connected TV.

Fig 13. Facebook Live

What About Youtube Shorts?

Recently Youtube Shorts was launched; this is not the material covering your thighs. Youtube Shorts is a short form, a vertical video platform that allows anyone to create content with their smartphone. 

Fig 14. What is YouTube Shorts

YOUTUBE AND SEO

Most of your potential patients don't go to Youtube to learn about your practice. So, building an audience here may not be the best use of your time.

However, Youtube is owned by Google, and Google controls more than 90% of all search traffic. And guess what, Youtube short videos can show up in the search results. 

So if you want to be found in a Google search, using Youtube Shorts is a great idea. It's super helpful in ranking higher and more often in search results. 

Here are 5 Short-Form Video Ideas that You Can Post Online Today!

1. Did You Know? - Share a dental-related fact and do it in an entertaining way.


2. A Day In The Life - Show behind-the-scenes transparency of what you do every day for your patients.

3. Lip Sync - Have a little fun by showing your practice's playful side.



4. Show A Procedure - Use quick cuts and timelapse videos to explain a lengthy procedure quickly.

@juliedavisdds Delivering a smile makeover! Comment with any questions you have! #smilemakeovers #cosmeticdentist #fullmouthrehab ♬ Ocean - MBB

5. Before And Afters - Overlay a song where you can cut from the before to the after on the beat drop.

Need Help With Your Video Marketing?

Our partner My Social Practice has a great team of outstanding dental video marketers and trending ideas to help you stay on top of your marketing. If you'd like to learn more about video marketing, you can contact them HERE or ask them to host an education webinar.


About the Author

Blake Hadley is President at My Social Practice. He’s a graduate of the advertising program at Brigham Young University and has won a number of national and international awards in art direction, advertising, and creative marketing strategy. He is passionate about helping dental practices (and businesses) use out-of-the-box thinking to create stories that spread online.

Read More
Marketing Communications Marketing Communications

9 Must-Have Elements to Enhance Your Dental Practice Website

by Cesar Navarro, MS

If your dental practice is currently without a website, you might be missing out on valuable opportunities to service your patients while attracting new ones. Although developing a new website might require expert assistance, the work is well worth the result. So what exactly makes a website so crucial for your dental office? Moreover, what essential elements go into making an effective and useful one?

Your dental office website enables you to establish an interactive and impressive online presence. It's an online platform where existing and prospective patients can communicate with you. Your website can also hold details about the staff to familiarize the patient with your team, show off the technology you invested in for your patients, and even answer questions about insurances or financial policies, so there are no surprises for your patients. Additionally, it can give critical information on payment alternatives, directions, parking, etc.

Whether patients learn about treatments to commit to drastic smile changes, learn about your practice and the doctors involved in it, or request appointments online, a well-designed and laid-out dental website can serve as a digital liaison between patients and your practice. 

The Importance of a Website For Your Dental Practice.

If your dental practice is currently without a website, you might be missing out on valuable opportunities to service your patients while attracting new ones. Although developing a new website might require expert assistance, the work is well worth the result. So what exactly makes a website so crucial for your dental office? Moreover, what essential elements go into making an effective and useful one? 

Here is a breakdown of all this information. Understanding these points will help you decide how to design and plan or upgrade your dental office website. It's a great way to get the word of your dental practice out there. Your website is the base on which you build your online presence. It's the place that existing clients visit for additional information about the services they need. 

Potential clients will browse through various pages, customer testimonials, payment options, etc., to determine whether your services suit their needs. Ideally, your website should have a detailed menu and comprehensive information about your services. You have to lay out the information in an easy-to-understand manner. 

As mentioned, potential patients will also want to know what your existing clients have to say about your business, so you need to have patient testimonials and reviews on the site. Team bios will give clients a view of your team, their qualifications, and specializations. Dental offices with well-planned and well-designed websites always attract more traffic than those with standard, template-based sites. 

Essential Elements to Have In a High-Quality Website.  

An excellent website needs to have all the appropriate elements such as:

  • Search Engine Optimization (SEO) so that your target audience can quickly locate you online.

  • A proper structure and layout for search engines and patients.

  • Relevant information that is easy to understand.

  • Engaging content to keep visitors on the pages for a longer time, encouraging them to browse the site.

  • A professional and attractive website to distinguish you from others in the industry.

  • An efficient and straightforward call to action buttons to help the patient schedule right away.

These factors create an effective website that will drive more patients to your practice. Let's take an in-depth look at some of the most crucial ones:

 

1. SERVICES-RELATED INFORMATION

Your dental website must have one page for each service that you offer. Your potential patients will access these pages to understand what each treatment involves, and accurately optimized pages will help get them there. Include videos and images for each service. Highlight the salient features of a service and your USPs (Unique Selling Propositions) so patients will be encouraged to schedule an appointment. Services pages serve various purposes, including:

  • Answering questions that potential clients have about your services

  • Enabling people to make a better-informed decision about your practice

 

2. HIGH-QUALITY CONTENT 

Your dental website's success relies heavily on the type of content it has. It is essential to provide information to visitors, but you also want your website to be visible on the internet. Therefore, it must rank high on the SERPs or Search Engine Results Pages. Although most visitors will not read every bit of your web content, the search engine bots will display their recommendations after crawling your web pages. This aspect makes it necessary that:

  • Your web content is engaging and provoking your prospective clients' interests.

  • The content provides relevant and valuable information.

  • You have concisely written the content in an easy-to-read format. It is fundamental to do this because visitors will only quickly skim through the text and not read every word.

  • Your content is of high quality as it demonstrates your expertise in the field.

Quality content has a much higher chance of attracting more patients to your dental office, as it will produce excellent ROI (Return of Investment). 

3. CLIENT TESTIMONIALS THAT BUILD RECOGNITION AND AUTHORITY

Place testimonials from happy and satisfied patients on your dental website; these act as proof and a good way of showcasing your expertise and excellent service. Although your website content will talk about your superb facilities, high-quality care, and the best technology and service, when visitors see that your patients are vouching for these, it makes a better impact. People trust this information more than when they read what you say about yourself. 

 

4. PLACE CONVERSION BUTTONS AT STRATEGIC POINTS 

Include a compelling CTA (Call-to-Action) on each webpage on your site. These CTAs should encourage visitors to make a call or book an appointment. Placing these buttons at strategic points throughout the site will help people quickly contact you. Place the CTA buttons in a color that catches attention above the fold for immediate action from website visitors. These aspects matter when it comes to making an impact with little details on your site. 

 

5. PROVIDE ONLINE APPOINTMENT FUNCTIONALITY

Make it convenient for visitors to book appointments online. This process is convenient and something that many patients expect and prefer. Online paperwork, appointments, and text reminders are the best way to minimize cancellations and no-shows, thus increasing your overall patient numbers. Ensure that your online appointments and CTAs are optimized for mobile users, as a large percentage of people use mobile devices to browse websites. 

 

6. FOCUS ON STRUCTURING YOUR WEBSITE WELL 

Only a well-structured website will benefit your practice - place pages, tabs, and buttons in the right places. The sections/pages your dental website must include:

  • Home (Website's Summary)

  • About Us

  • Services

  • New Patient Forms

  • Payment Options

  • Insurance Details

  • Location Pages (If you have multi-location offices)

  • Contact Us

You will also need to have a well-planned navigation menu, graphics, and content that work together and apply to responsive web pages. Make sure it has all the necessary SEO elements for increased visibility. 

 

7. PERSONALIZE YOUR BRANDING

People need to see what you are all about, and that's where personalized branding comes in. Include images of your facilities, premises, and team. Add service-related videos to add life to your website and to create a positive first impression on visitors. You can incorporate treatment-related before and after images to make the content more informative. Photos, videos, and graphics provide some relief from blocks of text, making it easier for visitors to access the information they need. In other words, potential patients need to get a clear idea of your office.

8. HIGHLIGHT YOUR BRAND WITH YOUR STORY 

We can't overstate the importance of an impactful About Us page. People want to know the history of your business and its background. Adding your dental practice's story on your website is one way to win over your audiences while increasing your brand value. Professional website designers offer their suggestions about how to position information on your About Us page, and it can help in:

  • Developing a solid marketing strategy

  • Turning your business name into a recognizable brand

  • Earning your audiences' loyalty and affection

  • Driving profits

Visitors will better understand your vision, culture, business ideology, and priorities - it is crucial in creating a well-established dental practice. 

 

9. INCLUDE A SEPARATE INSURANCE PAGE

You need to include an insurance page as a part of your website structure. Every credible dental office will mention the connected insurance network names. In addition to these details, add some relevant and well-thought-out FAQs to your insurance page. Consider which questions matter to your potential patients and include them in the FAQs. 

 

The Use of Patient Psychology In Website Design 

Psychology has a crucial role in all types of web content and web design. Specific psychological triggers can go a long way in influencing patient choices, increasing your return on investment. Many different effects and techniques can help you achieve the required results from your website's content and design, such as:

  • Plan the site's navigation menu in a way that the most important links are near the top of the beginning

  • Optimize your webpages

  • Outline all the notable benefits

  • Follow the Von Restorff Effect concept to make your site's visitors remember the details that catch their attention.

  • Highlight the services you want to promote and place the CTA buttons strategically.

  • Motivate visitors by using the Zeigarnik Effect to complete tasks they didn't complete during their previous visit, such as returning for additional information, completing the sign-up process, or filling up a Contact Us form.

  • Offer incentives, place a progress bar, and keep visitors informed about irreversible changes.

  • Include these types of psychological triggers on your dental office website to encourage potential patients to take action. It's a simple yet effective way of driving traffic to your website.

This article focuses on designing and planning websites that keep your visitors engaged while providing the information they are searching for is essential. At Geek Dental Marketing®, we have mastered the skill and art of marketing strategies that always drive results for dental practices of all shapes and sizes, but it always starts with the foundation - your website! So, don't forget to pay attention to these tips when creating a new website for your practice.


About the author:

Cesar Navarro, MS, is presently the Marketing Director & CEO of Geek Dental Marketing®, a marketing, development, and technology company for dental offices. With the vision to grow practices, improve management and visibility online, Cesar launched a full marketing company that focuses solely on dentistry to help dentists stand out from the crowd. Cesar holds over ten years of experience in the dental marketing field. He has also served as a group practice administrator and treatment coordinator, where he began his journey and passion for dentistry. Before dentistry, Cesar served as an NCO in the United States Army for several years, where he gathered many skills that most marketers lack. Combining all his skills like attention to detail and experiences, he has presented several CE courses to help dentists globally, such as “Leadership in a Dental Office,” “Branding Mastery Course,” “The How Much Patient? Converting & Selling”, “A New Era: Social Media Marketing,” and many more, and with it thousands of hours as a practice marketing consultant.

Read More
MicroDental MicroDental

The Successful Esthetic Rehabilitation Through Simulations

by Dr. Jeff Trembley

The most critical factor to communicate to the laboratory for managing control over an esthetic rehabilitation case is the dentofacial smile design. The question then becomes how best to communicate these metrics?

The most critical factor to communicate to the laboratory for managing control over an esthetic rehabilitation case is the dentofacial smile design. Imagine the predictable restorative success we all could attain in the esthetic zone if we provided the laboratory with the tooth arrangement and form; the ratio of tooth width to height; and illustrate how these relationships are perceived against the unique facial properties of each patient. If these metrics are truly what determines successful esthetic cases, then the burden to communicate those relationships to the ceramist would lie with the practitioner, without error. 

The question then becomes how best to communicate these metrics? The most precise method of communicating intra-arch tooth position against the unique facial properties of the patient is through a series of digital simulations and corrections that are refined and mapped throughout the management of the case using a digital intraoral scanner. 

If facially-driven form and tooth arrangement are the most important visual determinants of a successful esthetic rehabilitation case, our objective as practitioners is to find this relationship, then manage the patient’s bite forces and chewing patterns to fit within that design, or conversely, to adjust the design to fit within existing bite forces and chewing patterns of the patient. At our practice, we manage this by utilizing the Kois Management Considerations: The 10 Step Approach (see sidebar) to evaluate and adjust the dentofacial, functional, biomechanical and periodontal considerations within CAD software (Exocad) to create a series of simulations. 

Digital simulations and direct mockups are utilized to determine optimal dentofacial form of the smile design. The objective is to refine each simulation in a step-by-step manner until the desired, harmonious relationship of the new smile design is realized. In our restorative routine, every case can be simulated four times within our workflow if necessary. Built first upon the Primary digital simulation, subsequent simulations are transferred directly to the patient and refined directly.

Primary Simulation

A full-face photo along with three close-up photos of the patient are taken: lips at rest, full smile; and retracted mode. The photo of the retracted patient in a neutral head position is imported into CAD software along with an initial intraoral scan (Trios-3, 3Shape) of the maxillary arch. The intraoral scan is matched in size and scale against the photo of the retracted patient (our digital facebow transfer).

Note: Click images to enlarge.

Figure 1. Initial Digital Scan

Figure 2. Primary Digital Simulation: proposed tissue adjustments to achieve a more aesthetic height/width ratio. Gingivectomy planned for teeth 6-11. Veneers planned for 6 & 11.

Figure 3. Primary Simulation. Before Treatment - Old Veneers

Figure 4. After - Final Restorations

A new design is created utilizing various tooth libraries (much like setting denture teeth in wax).  The CAD software digital articulator functions allow us to create new dentofacial arrangements while honoring or adjusting bite forces and wear patterns. The objective of the Primary Simulation is to reconcile general tooth form, arrangement and positioning, relative to crown length and negative spaces in a completely additive manner to prepare for a direct transfer to the patient. This must be an additive or neutral step against the existing dentition. Once completed, models are 3D printed, washed and cured. A silicon index of the proposed smile design is created in preparation for direct transfer. 

Note: The analytical, left-brained dentist, who strictly adheres to the golden ratio, may object to this method, while the artistic, right-brained dentist sees the value in an additive design simulation.  However, by the secondary simulation, both left- and right-brained dentists will see the value of the additive Primary Simulation.

Secondary Simulation

Note: Click images to enlarge.

In the Secondary Simulation direct application of the Primary Simulation is executed and adjustments are made. The Primary Simulation is applied to the patient using a silicon index and bisacryl resin. Excess bisacryl is trimmed using 7901 carbides where needed and interdental closure spaces deepened so the teeth appear separated once applied to the patient. At this point we capture photographs of the patient with the proposed design and allow the patient to review the design. Often, the Primary Simulation does not need to be altered and the patient is motivated to move forward.

If design changes are desired, the focus turns to altering vertical proximal crests (transition lines between the proximal and facial), levels and volume of interdental contact points and length. These four adjustments are typically needed to size down or carve the Secondary Simulation. When configured properly, a digital impression scan is captured and refined in the CAD software (Exocad). Models are reprinted and a new silicon index created and prepared for the preparation appointment.

Note: The additive design placed directly over patients existing ceramics and canines utilizing putty stints and integrity bisacryl. Photographs captured and presented to patient for approval of new design.

Tertiary Simulation

At this point, the patient generally accepts the design, form, and morphology of the treatment proposal. Following tooth preparation, the silicon index is used to place the final temporaries. In this simulation, additive adjustments to the design are made with a composite material (Tetric Evo Ceram, Ivoclar Vivadent) to sharpen transitional line angles. Reflective and deflective surfaces are established with fluted carbine finishing burs and polishing disc (3M). Final photos and digital impressions are captured and sent to the laboratory. The ceramist is instructed to strictly adhere to the design.

Note: Click images to enlarge.

Figure 7. Preparation

Figure 8. Preparation

Figure 9. Preparation

Note: After removing existing ceramics 7-10, the over prepared anterior were cleaned with aluminum oxide air abrasion. Teeth 6 and 11 were minimally prepared to relocate incisal position and establish canine guidance.

On rare occasions, a patient is asked to return 1-2 days following the preparation appointment to evaluate the design without the effects of anesthesia. If adjustments are needed, which typically involves length or volume requests, the adjustments are completed, and the information is sent to partnering laboratory with digital photos.

Note: Click images to enlarge.

Figure 10. Tertiary Simulation

Figure 12. Tertiary Simulation

Figure 11. Tertiary Simulation

Figure 13. Tertiary Simulation

 

Note: Gingivectomy to balance tissue and tertiary simulation placed and contoured to patients approval. Notice the emphasis of canine incisal edge position and an increased height to width ratio of the centrals.

Key Information for Laboratory Communication

The laboratory should receive three scans and three photo series.  
Scans: Initial scan, Preparation scan, Final Simulation
Photos: Initial photo, Polarized preparation photo and adjacent teeth with shade tab, Tertiary Simulation with notes for ceramist Final Simulation photo.

Note: Click images to enlarge.

Figure 14. Final

Figure 15. Final

Figure 16. Final

Note: Cutback HT-BL2 IPS e.max veneers seated. Canine guidance established to protect lateral incisors during excursive movements. Macstudio Restorations by MicroDental Laboratories.

Upon receipt of the three digital scans, the laboratory syncs the models, using common soft tissue landmarks, and held in proper orientation based on the position of the initial scan, which is properly oriented from the digital face bow transfer of the head in a neutral position. Adjusting opacities of the scans allows the laboratory to see a precise relationship between the initial scan, the preparation scan and final simulation scan.  At this point we have controlled the most important aspect of a successful rehabilitation in the esthetic zone: the dentofacial design. The ceramist is now tasked with characterizing, layering and enhancing the three-dimensional light properties of the ceramics. 

A powerful implication of the simulation process is that once restorations are seated and scanned for a night guard, this fourth scan can be synchronized with the previous scans to evaluate the accuracy between the final simulation and the final restorations. The feedback loop from case to case will aid in predictability, cooperation and precision between the laboratory and practitioner.

Conclusion

Digital technologies have significantly changed the clinical approach to esthetic restorative dentistry and, using this 3-step protocol, can provide practitioners with the ability to efficiently exert more control over the restorative design and final execution of comprehensive restorative cases. Powerful chairside software applications along with proven clinical case management protocols now allow clinicians to control the morphology of the smile, incisal edge position and embrasures, line angles as well as reflective and deflective surfaces and offer the highly skilled ceramist the information needed to perform at the highest levels.

Sidebar

Kois Management Considerations - The 10 Step Approach

  1. Develop Maxillary Incisal Edge Position

  2. Develop Maxillary Posterior Occlusal Plane

  3. Develop Mandibular Incisal Edge Position

  4. Mandibular Posterior Occlusal Plane

  5. Intra Arch Tooth Position

  6. Gingival Tissue Assessment

  7. Therapeutic Considerations

  8. Restoration Design

  9. Gingival management / control loss of attachment

  10. Restoration enhancement / concerns


About the author:

Dr. Jeff Trembley

Dr. Trembley was raised in Knoxville, TN where he attended college as a pole vaulter for Tennessee’s Track and Field Team. An avid striper-fisherman and volleyball enthusiast, Trembley moved to Nashville from 2006–2008 to teach science at Montgomery Bell Academy in Nashville, TN. In 2009, Trembley was accepted into Dental College in Memphis, TN where he found his passion for dentistry. After 4 years of private practice in Middle Tennessee, Trembley opened Smile On Nashville in November 2017.


Smiles Matter®

A podcast from MicroDental Laboratories brings you interviews from the foremost dental authorities and trailblazers to discuss winning strategies for today’s dental practice.

Find and listen to our full episodes on our website, Spotify, Apple podcast, or other streaming platforms.

Read More
Marketing Communications Marketing Communications

What Do You Do if Your Bonded Ceramic Crown Falls Off?

by Dr. Nathaniel Lawson, PhD

“Can you re-glue my crown on doc?” your patient asks as he hands you a small wad of tissue paper. Many times, we unwrap that tissue paper only to discover a crown filled with the build-up and fragments of a tooth fractured to the gingival margin. Occasionally, however, an intact ceramic crown will be present with only some residual resin cement stuck to its intaglio surface. In these cases, the clinician may rebond the de-bonded crown by following a protocol to remove the residual cement without damaging the underlying ceramic.

“Can you re-glue my crown on doc?” your patient asks as he hands you a small wad of tissue paper.  Many times, we unwrap that tissue paper only to discover a crown filled with the build-up and fragments of a tooth fractured to the gingival margin.  Occasionally, however, an intact ceramic crown will be present with only some residual resin cement stuck to its intaglio surface.  In these cases, the clinician may rebond the de-bonded crown by following a protocol to remove the residual cement without damaging the underlying ceramic.

The first step is to determine the type of ceramic from which the crown is fabricated. A radiograph can be taken of the crown to determine its composition based on radiopacity. A crown that is as radiopaque as a coin is likely zirconia, whereas, a crown which is more radiolucent than a coin is likely a glass-based ceramic, such as porcelain or lithium disilicate.

Figure 1. A quarter (left) and lithium disilicate onlay (right)

Cleaning residual resin cement from zirconia can be achieved by sandblasting with 50 micron alumina at 2 bar (30 psi) pressure.  Sandblasting zirconia with alumina particles does not reduce its strength due to its ability to heal cracks through transformation toughening.  In fact, sandblasting zirconia with alumina particles is the laboratory procedure which is used to give zirconia surface texture for bonding.   

Cleaning residual cement from the intaglio surface of glass-based ceramics, however, must be performed with more care in order to prevent damage to the underlying ceramic.  If a glass-based ceramic, such as lithium disilicate, is sandblasted with 50 micron alumina at 2 bar pressure, it will lose 25% of its strength. Grinding the residual cement from lithium disilicate with a coarse diamond bur will reduce its strength and may affect the internal fit of the restoration.

One option to remove cement from lithium disilicate is to place it in a ceramic furnace in the following program: stand-by temperature (B) = 403°C, closing time (S) = 03:00, temperature increase (t) = 15°C, holding temperature (T) = 550°C, holding timer (H) = 05:00, vacuum on temperature (V1) = 403°C, vacuum off temperature (V2) = 550°C, and cool down gradient (L) = 0.  By keeping the holding temperature below 590°C (the nucleation temperature for lithium metasilicate crystals), the strength and translucency of the crown should not be affected. After the crown is removed from the furnace, small pieces of burned cement will be present that can be cleaned in an ultrasonic bath or with an alcohol wipe.

Another option to clean residual cement from lithium disilicate is to sandblast it with 50 micron glass beads.  Glass beads are an alternate sandblasting particle that are less abrasive than alumina particles.  Glass beads can be thought of as small tennis balls as they are round and soft, whereas alumina particles are like small rocks as they are hard and irregular in shape.  Glass beads used at 2-4 bar (30-60 psi) pressure are able to remove excess resin cement without affecting the strength of the underlying ceramic.

Figure 2. Sandblasting residual cement from a lithium disilicate onlay with 50 micron glass beads

Once the residual cement is removed from the internal surface of the glass-based ceramic materials, the surface needs to be re-etched because the etch pattern is dulled with cement removal. Lithium disilicate materials are etched between 20-30 seconds (depending on manufacturers recommendations) with 5% hydrofluoric acid and feldspathic porcelain is typically etched between 60-120 seconds with 5-10% hydrofluoric acid seconds (depending on manufacturers recommendations).  After etching residual salts may be removed by cleaning with 37% phosphoric acid.

Observation of debonded crowns may help us improve our bonding protocol.  If the resin cement is stuck to the intaglio of our crowns (as described in this article), the bond failed at the interface with the tooth.  Perhaps improvement is need in isolation, clean-up of the tooth, or the bonding protocol to the tooth.  If the resin cement is stuck predominantly to the tooth, perhaps the bonding protocol to the ceramic needs to be improved. 


About the author:

Nathaniel Lawson, DMD, PhD

Dr. Lawson, is the Director of the Division of Biomaterials at the University of Alabama at Birmingham School of Dentistry and the program director of the Biomaterials residency program. He graduated from UAB School of Dentistry in 2011 and obtained his PhD in Biomedical Engineering in 2012. He has served as an investigator on over 50 clinical and laboratory research grants, and published over 150 peer reviewed articles, book chapters, and research abstracts. His research interests are the mechanical, optical, and biologic properties of dental materials and clinical evaluation of new dental materials. He was the 2016 recipient of the Stanford New Investigator Award and the 2017 3M Innovative Research Fellowship both from the American Dental Association. He serves on the American Dental Association Council of Scientific Affairs and is on the editorial board of The Journal of Adhesive Dentistry and Compendium. He has lectured nationally and internationally on the subject of dental materials. He also works as a general dentist in the UAB Faculty Practice.

Read More
MicroDental MicroDental

The Importance of Your Practice's Digital Information & Consistency Across the Web

by Cesar Navarro, MS

People are searching online to find specific answers and services near them. Google, Bing, and Yahoo are the most reliable and quickest sources for people to find your services near them. Studies show that almost 6 in 10 consumers use Google to find a local service or business. Over 7 in 10 of these searchers lay a lot of emphasis on the information provided by the search results. So, when it comes to getting your practice found online, you cannot ignore the importance of local listings and search engine optimization (SEO).

People are searching online to find specific answers and services near them. Google, Bing, and Yahoo are the most reliable and quickest sources for people to find your services near them. Studies show that almost 6 in 10 consumers use Google to find a local service or business. Over 7 in 10 of these searchers lay a lot of emphasis on the information provided by the search results. So, when it comes to getting your practice found online, you cannot ignore the importance of local listings and search engine optimization (SEO). Besides, practice's digital information is essential, and you must maintain data consistency across the web. NAP or "Name, Address, and Phone number" along with other specific factors are the most important digital information relevant to your practice that should be maintained consistently across all websites and platforms. 

Search engines deliver the NAP data to your target audience, allowing them to contact and reach out to your dental office. So, what is NAP, why is NAP consistency important, and what are the underlying requirements? We want to shed valuable insights on this topic. We are sure that most dentists and other practitioners don't realize the importance of this information.

What is NAP?

NAP refers to location-based information about your practice. This includes name, address, and phone number . NAP consistency requires that this information should be accurately maintained across all web platforms, including websites, social media profiles, local directories, and business listings. It is an important local SEO ranking factor. Any mention of your NAP information is referred to as a citation.

Every dentist wants their practice to be found online on top of the search engines recommendations. NAP consistency is the foundation of your local SEO strategy. Whether your digital marketing strategy is managed in-house or by an external marketing agency, someone must ensure the accuracy and consistency of your practice's information. While this is the minimum requirement for playing the local search game, it is a necessary foundation for your digital presence.

Why is NAP Consistency important?

Google and other search engines use many types of factors to rank websites locally. As a dental practice, local search results are crucial for you because patients do not keep scrolling down when it comes to choosing a dentist. The first top 3 local business recommendations from Google or any other search engine are what patients decide when looking for a dentist, so it is important to be locally ranked on the top 3 results. Citations are among the most important signals for Google and other search engines to determine that your practice is authentic. They will also rely on the NAP consistency to ensure that accurate information is served to users. 

It is worth knowing that user experience (UX) is at the heart of Google search ranking algorithms. Search engines are committed to delivering accurate information to their searchers (users).

If your citations have inconsistencies, they will be de-merited in search engine ranking signals, thus adversely affecting your practice's search rankings. Practices having consistent NAP data across the web will be relatively ranked higher! 

HOW DOES INCONSISTENCY AFFECT A PATIENT'S PERSPECTIVE?

Imagine a patient is trying to contact your dental office, only to be led astray by inconsistent online listings, old phone numbers, different names and addresses. The patient will likely think that you and your team can’t be bothered to update your contact details. It can be seen as an insight into the quality of services that you offer. 

Studies show that 73% of searchers will not trust a brand if the business listing consists of inaccurate data. So, you must make every effort to ensure your online information always stays up to date.

It may not just affect the patient psychologically, but the wrong information may be causing inconvenience for the patient when reaching your practice.

NAP Consistency & SEO

Correct information and a great user experience (UX) are the most important elements of a search engine. A search engine must trust that your website and/or practice will meet the needs of their users because search engines only want to deliver the best experience for users; by having the wrong information, you are failing to work with the search engine's primary purpose.

The key to building trust with Google or other search engines is to ensure that the search engine's algorithm understands who you are, what you do, and where you are located. Search engine crawlers can detect any variations in your dental practice's name, phone number, physical address, and website address, but having the same information is the best way to accomplish their mission.

Consider the following scenario:

Consider a dental office with the following name, physical address, and phone number. This is an official business registered name.

ABC Dentistry Inc
123, Wurzbach Rd,
San Antonio, TX 78258
(210) 292-0111 

Digitally, most offices would not list the "Inc," so this would be the ideal digital practice information on Google and other search engines. 

ABC Dentistry
123, Wurzbach Rd
San Antonio, TX 78258
(210) 292-0111

A few months later, you promote an online ad with a tracking number to keep track of the phone calls generated by the ad. The marketing company tells you they will use this tracking so you can have better "accountability." Still, the problem is that they list this number in organic places such as your Google listing, which means NAP information becomes incorrect. 

ABC Dentistry
123, Wurzbach, Rd 
San Antonio, TX 78258
(210) 292-3212

Then you recently verified your Facebook page, but you wanted to make it more personalized, so you decided to add your name to the practice name; mistakenly, you forgot to put the word "Rd" on the address.

ABC Dentistry by Dr. Smith
123, Wurzbach,
San Antonio, TX 78258
(210) 292-0111

Since you purchased the practice from another dentist, some old listings, such as Google, Yelp, Yellow Pages, etc., may have the old information. The phone number and address would be the same because they are given with the office, but the name is entirely different! Google does not know if there is a new practice or not; for the algorithm, this is just wrong information.  

Dr. Garcia Berg – Oral Surgery
123, Wurzbach Rd,
San Antonio, TX 78258
(210) 292-0111

You may also want to consider searching for your name and looking into all these specific listings under your name (not your practice name). Since you worked as an associate for other offices, you may have information all over the place. It is crucial to fix the data from another practice to your new one. 

Dr. Smith is working at
Extreme Smile Associates
567, Power Rd.
San Antonio, TX 78254
(210) 997-6852

Lastly, you build a website, and your website MUST have this NAP information correct. Just because you have a website, it does not mean Google and other search engines will know what to do with the information displayed when the website goes live. The data is read in different ways, and design may also affect how it is structured for search engines. A specific set of codes such as schema markup provides the correct information for search engines. This code is the foundation of Search Engine Optimization.

So, what is a schema markup or, in other words, microdata for search engines? Schema markup is code (semantic vocabulary) that you place on your website to help the search engines return more informative results for a user in specific ways. This gives you control of what to say to Google and other search engines for their users. 91% of dental offices do not have a schema markup placed on their websites.

So, as you can see, the inconsistency across the web becomes harder and harder to keep track of. Search engine crawlers are exceptionally detail-oriented, so having all this wrong information will affect the results of search engines, thus your practice not being recommended as a top result by Google or other search engines when patients are searching for your services.

How to Fix or See My Practice Information?

There are several ways to make a practice analysis of digital health. However, the first step you should take to ensure your practice's digital information is consistent is to conduct a Google search for your dental office's name.

Google your practice's name with your city name. You will most likely get your Google listing information which should look like the image attached.

Once you verify all the information on your Google listing is accurate and how you want it, you will have to go into every listing to see If you come across different addresses or phone numbers across the web (NAP Inaccuracy).

You can also use online tools such as GeekBoost™ to check citations consistency. Before you do this search tool, you need to make sure you write down the exact information. Do not miss a period or suite number sign.

Here is a local listing search to make your life easier: CHECK PRACTICE'S DIGITAL HEALTH

GeekBoost™ will only show around 70-90 local listings, but there are thousands of listings, so you may want to consider reaching out to an expert that knows about this type of search optimization. Keep in mind that 91% of offices do not have these placed; that means not everyone gets this right.

NAP data plays a significant role in driving foot traffic to your office, therefore you cannot take it lightly. If you are serious about growing the number of patients visiting your dental office, you must address this important factor in your local SEO strategy. 

Accuracy and consistency in NAP data will not only boost your number of new patients but can also increase your office's online visibility in your search engine results pages (SERP). Google and other search engines favor listings that provide rich and consistent information no matter the data source. When it comes to fixing inconsistent NAP, it is a time-consuming and cumbersome job. You will have to find and visit all the websites where your practice is listed, create accounts, and make the changes. It is best to seek professional help to ensure faster and proper steps are taken.


About the author:

Cesar Navarro
CEO at Geek Dental Marketing

Cesar Navarro, MS, is presently the Marketing Director & CEO of Geek Dental Marketing®, a marketing, development, and technology company for dental offices. With the vision to grow practices, improve management and visibility online, Cesar launched a full marketing company that focuses solely on dentistry to help dentists stand out from the crowd. Cesar holds over ten years of experience in the dental marketing field. He has also served as a group practice administrator and treatment coordinator, where he began his journey and passion for dentistry. Before dentistry, Cesar served as an NCO in the United States Army for several years, where he gathered many skills that most marketers lack. Combining all his skills like attention to detail and experiences, he has presented several CE courses to help dentists globally, such as “Leadership in a Dental Office,” “Branding Mastery Course,” “The How Much Patient? Converting & Selling”, “A New Era: Social Media Marketing,” and many more, and with it thousands of hours as a practice marketing consultant.

His strategy includes the GeekBoost™ program, which allows clients’ business information, including addresses and phone numbers, and online web presence to be distributed across multiple channels, such as landing pages, listings, and social media platforms from one single source – securing the accuracy of dental office information online.

Read More